陪伴已十年 期待更长远——一例小细胞肺癌治疗分享
陪伴已十年 期待更长远——一例小细胞肺癌治疗分享
人生有多少个十年,武威医科院肿瘤医院有一位间断治疗十年的晚期肺癌患者,让我们对肿瘤患者的治疗有更加深刻的认识与理解,也希望我们肿瘤患者朋友在带瘤生存的漫长人生里有更多的勇气与希望,规范治疗,更加有质量、有希望的活着。
病例分享
2013年10月我院接诊了一位来自广东的小细胞肺癌患者李先生,他因为出现“刺激性干咳、气短”就诊于我院胸外科,查胸部CT示:前纵膈胸腺区占位病灶(42mm×35mm×32mm)并右肺内多发结节灶及胸12椎体骨质破坏性改变。头颅+腰椎核磁未见明显肿瘤性病变。于2013年11月初行全麻下“右侧开胸探查术”,病检示:小细胞肺癌,(第三)肋骨及送检膈肌组织内见癌组织浸润。
术后行3周期化疗,复查提示病灶缩小。其后患者因经济原因未行特殊治疗。2016年11月1日患者复查胸部CT,疗效评价:PD(病情进展)。建议行放化同步治疗,患者及家属拒绝放疗间断化疗六次。于2018年6月至10月因病情进展再次行化疗4周期后复查胸部CT结果提示病情稳定,患者因经济原因未继续化疗。
2018年11月9日至2019年9月患者参与我科开展的临床试验,给予“复方红豆杉胶囊0.6g po tid”治疗,定期复查,病情稳定。2019年8月复查胸部CT提示病情进展,结束试验。
其后患者因经济原因2020年7月至2023年1月间断至我院行化学治疗。期间因患者依存性较差,未能规律行化学治疗,2021年12月患者出现脑转移,于2021年 12月16日至2021年12月28日纵隔肿瘤和脑转移二维适形放疗。于2023年1月患者再次因未规律化学治疗致病情进展,患者不愿继续化疗开始口服“马来酸阿法替尼片(自带)40mg 口服 qd”靶向治疗至今。2023年3月3日我院复查胸腹盆平扫CT、头颅平扫MR:疗效评估:SD。
目前这个患者已安全度过10年,生活工作如常,家人身体健康,子孙满堂,每次联系他,总觉得人生漫漫,开心就好,活着就很好。我科会继续随访该患者,愿每一位患者都能有质量的、幸福的活着。
治疗相关影像资料:


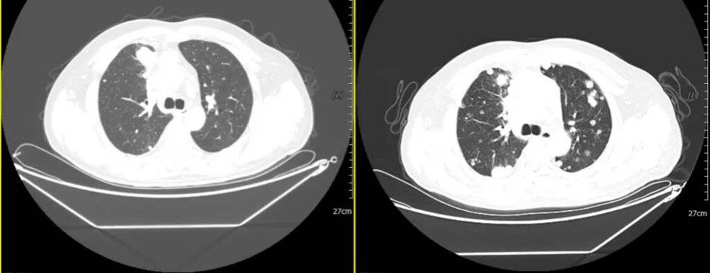
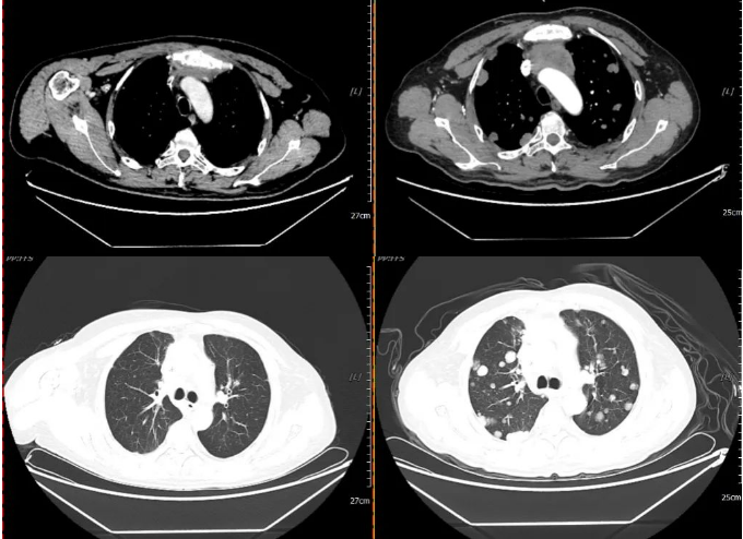
2020-07-03 2021-02-20
与2020年7月3日片对比:两肺多发异常结节较前明显增多、增大(原约3.2×2.1,现约3.9×3.0cm);纵膈前间隙、纵隔内及两肺门多发增大淋巴结较前部分增大(原约5.2×3.4,现约6.7×4.0cm)并胸骨受累(新出),邻近上腔静脉及左头臂静脉受累较前加重。

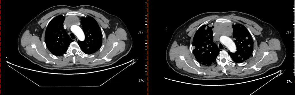
2021-02-20 2021-04-30
2周期化疗后复查疗效评价:PR

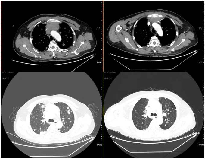
2021-04-30 2021-07-06
(四周期化疗后)复查疗效评价:SD(两肺及胸膜结节减少缩小;纵隔前间隙、纵隔内及两肺门淋巴结(2.5×3.0cm)较前部分缩小。

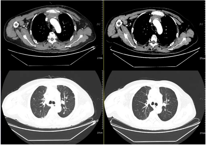
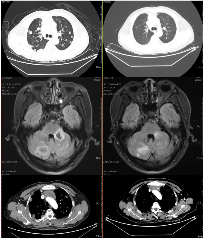
2021-07-06 2021-12-11

2021-03-05 2021-12-10
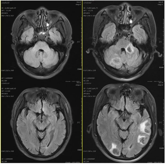
2021年12月11日疗效评价:PD(两肺及胸膜结节明显增多、增大;纵隔前间隙、纵隔内及两肺门转移淋巴结(现约4.7×3.5cm)较前增多、增大,上腔静脉、左头臂静脉受累狭窄;双侧小脑半球、大脑半球转移(约2.1×1.7cm)新发。

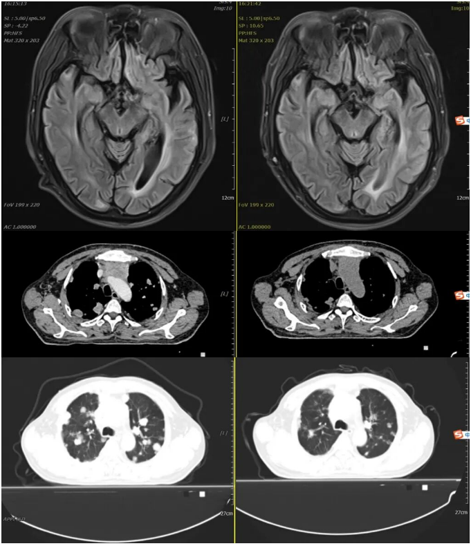
2021-12-11 2022-03-23
2周期治疗后 疗效评估:PR(部分缓解)

2023-01-30 2023-03-03
2023年1月30日开始口服“马来酸阿法替尼片(自带)40mg 口服 qd”靶向治疗。
2023年3月3日我院复查胸腹盆平扫CT、头颅平扫MR:疗效评估:SD(病情稳定)
化疗科简介
武威医学科学院肿瘤医院化疗科成立于2009年2月,现有床位46张,在科主任王慧娟主任医师带领下,目前化疗科医生7名,主任医师1名,副主任医师1名,另有2名高年资主治医师,3名住院医师。科室长期聘请兰州大学第一医院肿瘤内科首席专家赵达副院长作为我们的外聘专家,定期查房、交流。全科年收治肿瘤化疗患者1200余人次,是河西地区诊治量最大、治疗最规范的肿瘤内科,于2013年成为甘肃省卫生厅首批“癌痛规范化示范病房”挂牌单位,并于2017年“甘肃省癌痛规范化治疗技能大赛”中所派代表队获一等奖。2017年成为“甘肃省肺癌防治联盟成员单位”。2018年成为“兰州大学肿瘤综合治疗专科联盟成员单位”,所派代表队在“2019年甘肃省肺癌MDT大赛”中获三等奖。2021年被评为“武威市重点学科”。2022年7月成为“甘肃省胸部肿瘤临床医学研究中心-分中心”。目前开展技术:从事各种实体肿瘤及淋巴瘤的诊断、新辅助化疗、术后辅助化疗、姑息性化疗、局部药物灌注化疗。内分泌治疗;肿瘤分子靶向治疗、肿瘤免疫检查点抑制剂治疗及CIK、NK等细胞免疫治疗。主持及参与多项药物临床试验,所承接临床试验完成情况良好,为广大患者带来福音。

联系我们
联系我们:0935-6988068、 0935-6988063
就医地址:武威医学科学院重离子医院化疗科(康复楼2楼)。