毫米级“战场”:介入科医生的止血艺术
毫米级“战场”:介入科医生的止血艺术
一、当肿瘤出血成为致命威胁
肿瘤患者最危急的情况之一,便是突发肿瘤破裂出血。无论是肝癌破裂导致的腹腔大出血,还是肺癌侵犯血管引发的咯血,亦或是妇科肿瘤引发的阴道大出血,这些场景都可能让患者在短时间内因失血性休克而危及生命。传统的外科手术虽能止血,但对于体质虚弱、凝血功能差或肿瘤位置特殊的患者,手术风险极高。此时,介入治疗如同一把精准的“生命之钥”,为患者打开生的希望。
二、介入治疗:以毫米级精准“封堵”出血

其技术优势体现在四大维度:
1.微创性:仅需1-2毫米的皮肤穿刺点,避免开腹、开胸等大创伤。
2.精准靶向:实时影像导航下,医生能清晰看到出血血管的“泄漏点”,直接注入栓塞剂(如明胶海绵、微球或弹簧圈),实现“指哪打哪”。
3.快速止血:从穿刺到完成栓塞,最快可在30分钟内控制活动性出血,为后续治疗争取时间。
4.适应症广:即便患者因肿瘤晚期、心肺功能差无法耐受手术,介入治疗仍可安全实施。

三、典型案例
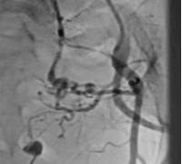
患者,女,54岁,主因“腹腔转移性癌2年,持续性血尿2周”收住,此次入院前2周患者无明显诱出现肉眼血尿及尿中血凝块伴乏力,给予止血治疗后效果欠佳,患者出血量逐渐增多。我科于入院后急诊行“左侧髂内动脉造影”可见:髂内动脉发出三支分支血管供血膀胱,血管迂曲。引入微导管,依次超选三支血管,在透视监视下缓慢注入PVA-0600栓塞微球,栓塞后再次造影可见血流速度较慢、造影剂滞留。撤出微导管,延导丝跟进导管,进入右侧髂内动脉,造影可见:分支血管丰富,血管迂曲,但未见明确膀胱供血血管。经介入栓塞后患者当天晚上膀胱冲洗液由鲜红色转为淡红色,次日清晨冲洗液彻底转为无色。


栓塞前造影 栓塞后造影

栓塞前膀胱冲洗液 栓塞后6小时膀胱冲洗液
四、案例
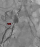
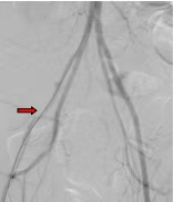
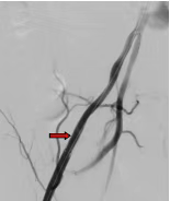
患者,女,50岁,主因腹膜后恶性肿瘤术后出现引流管出血逐渐增加,转入我科行介入治疗,造影提示:右侧髂外动脉中段造影剂外渗、局部大片造影剂滞留,考虑髂外动脉破裂出血,行4*40mm球囊以6atm压迫止血后造影出血明显减少,遂行髂外动脉覆膜支架植入术彻底解决患者出血问题,为患者后续治疗。



术前造影 球囊压迫止血后造影 支架植入术后
五、总结:以介入为核心的多学科模式,改写肿瘤出血结局
肿瘤出血的救治是一场与时间的赛跑,也是一次多学科智慧的集结。介入治疗以其快速、精准、微创的优势,成为现代肿瘤急救体系中不可或缺的环节。它不仅是止血的“急先锋”,更是串联手术、化疗、放疗、靶向治疗的“粘合剂”,为患者争取生的机会,也为肿瘤综合治疗提供更多可能性。

叶奎教授
毕业于天津医科大学,获得博士学位。从事血管专业工作15年,曾至天津市南开医院进修学习。熟悉大隐静脉曲张微创治疗,擅长硬化剂微创治疗静脉曲张,下肢动脉硬化闭塞症介入手术,对于支架、药物涂层球囊、震波球囊、导丝、导管等等器械的应用有一定的心得体会。深静脉血栓规范抗凝,科学综合管理,研判下腔静脉滤器手术指征,肺栓塞介入手术,下腔静脉滤器植入及取出术、透析通路建立及维护,糖尿病足的综合治疗,能够做截肢手术。肾动脉狭窄、锁骨下动脉狭窄等内脏动脉疾病,肠系膜上动脉狭窄或者血栓栓塞能够早期诊断、早期治疗,预防全身炎症反应。对主动脉疾病有一定认识,能够完成血管腔内治疗。能够完成内脏器官介入止血,对于动脉损伤或者动脉栓塞开刀手术治疗。介入下置入胆道支架、肠道支架,空肠营养管、肠梗阻导管。热爱科研,完成天津市卫生健康委科技项目并取得成果登记。

杨旺胜主任
心内与介入科重点开展的微创手术有:
(一)心脏与大血管:1.先天性心脏病(房间隔缺损\心室间隔和动脉导管未闭)导管封堵术;冠心病介入(PCI)治疗,缓慢心律失常起搏器植入术,快速性心律失常射频消融术。2.主动脉夹层/动脉瘤覆膜支架腔内隔绝术;腹主动脉瘤覆膜支架腔内隔绝术;主动脉溃疡、主动脉壁间血肿支架置入术。
(二)外周血管微创手术:下肢动脉硬化闭塞症球囊扩张成形术、支架植入术;肾动脉狭窄球囊扩张成形术、支架植入术;锁骨下动脉狭窄支架植入术、下肢深静脉血栓形成溶栓及血栓抽吸术;下腔静脉滤器植入及取出术;下肢静脉曲张射频消融术与泡沫硬化术;急性动脉栓塞切开取栓与溶栓术;急性肺栓塞血栓抽吸及置管溶栓术,腹腔脏器动脉瘤栓塞术。
(三)肿瘤微创及其他微创手术呼吸道大咯血、消化道大出血及妇科大出血的介入栓塞术;各类良、实体肿瘤(肝癌、肝血管瘤、子宫肌瘤、宫颈癌、软组织肿瘤等)的介入治疗;晚期肿瘤动脉灌注化疗术;动脉、静脉血管瘤的介入诊疗;肿瘤患者输液港置入术及取出术。地址:甘肃省武威肿瘤医院重离子院区1号楼1楼