预防胃癌,别让胃癌夺走你美好的生活
预防胃癌,别让胃癌夺走你美好的生活
胃癌是消化道常见肿瘤,特别在中国,每年新发胃癌患者40万人,我市也是全国胃癌高发区域。虽然全世界胃癌的总体发病率逐年下降,但其死亡率一直高居所有肿瘤的第二位,在中国每年胃癌死亡人数高达30万人。胃癌起病隐匿,早期常无明显症状,就诊时约一半患者已属中晚期。因此胃癌的早期预防和诊断非常重要
一、养成健康的饮食生活习惯
低盐饮食;
避免可能含亚硝胺类的食品;
多吃新鲜水果及黄绿蔬菜;
多吃奶制品;
戒酒戒烟:现已明确吸烟是胃癌的危险因素。烈性酒可引起胃粘膜病变;
少吃含添加剂食品;饮食不要过烫。
二、积极治疗胃部良性病变
1、清除胃幽门螺杆菌(HP)感染;
2、积极治疗癌前病变:如胃息肉、胃溃疡、萎缩性胃炎
三、定期筛查,以免延误病情,失去治疗机会
病例介绍
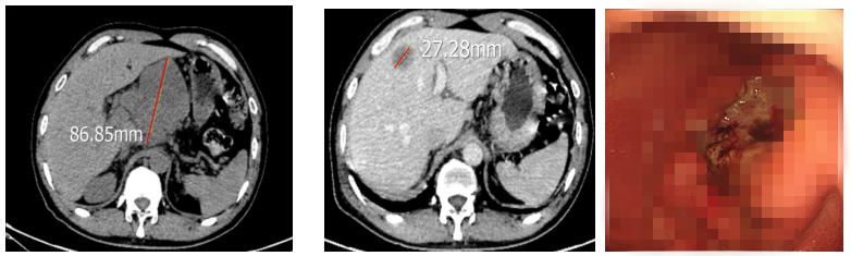
文某因“腹部胀痛”2021年10月就诊于化疗科,胃镜示:胃溃疡恶变(胃窦)。病理及免疫组化结果示:低分化腺癌,C-erbB-2(-),Ki-67(阳性率约70%)。胸腹部CT提示:肝胃间隙淋巴结转移(约8.2×5.6cm);肝内多发转移(约1.5cm);左侧颈根部转移淋巴结(约2.3*1.7cm)。
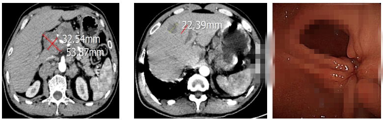
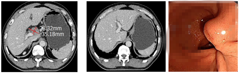
王慧娟主任医师组织科室讨论详细分析了文某的病情,与患者及家属充分沟通后,于2021年10月—2022年2月行一线6周期姑息性化疗。每两周期复查提示病情评估为稳定(病灶缩小但达不到部分缓解),患者症状较前缓解。2022年3月患者出现左侧颈部淋巴结增大(4cm),评估病情后提示病情进展,行颈部淋巴结穿刺活检,病理结果及PD-L1检测示:(淋巴结)转移性腺癌,PDL1(sp263)TPS<1%,CPS<1%,Her-2阴性。再次与患者及家属沟通后,调整为免疫检查点抑制剂联合二线全身静脉化疗6周期。1周期治疗后患者颈部淋巴结明显减小。2周期后影响评估:部分缓解(PR)。此后患者每3周予以免疫检查点抑制剂维持治疗,直至目前,患者已免疫治疗1年,2023年4月复查CT、胃镜提示颈部淋巴结、胃窦溃疡、肝转移病灶几近消失,病情依然稳定。目前患者已安全度过18月余,我院化疗科会继续随访此患者,同时希望更多朋友保持健康的饮食规律,定期体检,早发现、早诊断、早治疗。

治疗前腹部CT及胃镜

一线6周期化疗后腹部CT及胃镜

二线6周期化疗后腹部CT及胃镜

2020年最新统计数据(Gastric Cancer,GC),全球胃癌发病率在恶性肿瘤中居第5位,新增108.9万例,死亡率居第4位,新增死亡76.9万例。我国2020年发病率居恶性肿瘤第3位,新增47.9万例,死亡37.4万例,死亡率居第3位,为15.9/10万,远高于世界平均水平。而且胃癌有症状就诊时往往是中晚期。
胃癌的发生由多种因素共同造成的。其中最常见的病因包括幽门螺杆菌感染;生活方式如大量食用烤制和炭化动物肉,高盐摄入,盐腌或熏制食品以及吸烟、饮酒;癌前疾病和癌前病变;遗传因素、环境和饮食因素等。
大部分早期胃癌患者无症状,少数患者可有饱胀不适、消化不良等轻微不适,不容易引起重视。进展期胃癌可出现上腹痛、体重下降、贫血、乏力、厌食、消瘦或者消化道出血等症状。病程的终末期,患者会表现为严重消瘦,如皮包骨头一样,称之为恶性质状态或恶病质。诊断内镜下取活检病理诊断为金标准。
治疗方法:手术是胃癌患者获得根治的唯一可能方法,早期患者术后可获得根治。而进展期患者需要根据胃癌病理学类型及临床分期,采用以手术治疗为主,联合围手术期化疗、放疗、靶向及免疫抑制剂治疗等手段的综合治疗,以达到延长患者生存期限,改善患者的生存质量。
胃癌的转移途径以淋巴转移为主,进展期胃癌70%有淋巴结转移。此外还有血行转移,最常转移到肝脏。出现腹膜种植转移时,患者往往表现为大量的腹水。
预后:胃癌的预后与分期密切相关,早期胃癌患者的治愈率较高。但大部分胃癌发现时已是进展期或存在远期转移,晚期患者预后差,5年生存率不足10%。
希望更多的人了解肿瘤相关知识,平时养成良好生活习惯和饮食习惯,避免熬夜、饮酒,平时控制红肉,如牛羊肉、猪肉的摄入,以鸡鸭鱼肉等白肉取代红肉,同时限制腌制食物及食盐的摄入量,不吃隔夜食物,尽量吃比较新鲜的食物等,做到以防为主,定期体检,早发现、早诊断、早治疗,以健康的体魄度过每一天!
化疗科简介
武威医学科学院肿瘤医院化疗科成立于2009年2月,现有床位46张,在科主任王慧娟主任医师带领下,目前化疗科医生7名,主任医师1名,副主任医师1名,另有2名高年资主治医师,3名住院医师。科室长期聘请兰州大学第一医院肿瘤内科首席专家赵达副院长作为我们的外聘专家,定期查房、交流。全科年收治肿瘤化疗患者1200余人次,是河西地区诊治量最大、治疗最规范的肿瘤内科,于2013年成为甘肃省卫生厅首批“癌痛规范化示范病房”挂牌单位,并于2017年“甘肃省癌痛规范化治疗技能大赛”中所派代表队获一等奖。2017年成为“甘肃省肺癌防治联盟成员单位”。2018年成为“兰州大学肿瘤综合治疗专科联盟成员单位”,所派代表队在“2019年甘肃省肺癌MDT大赛”中获三等奖。2021年被评为“武威市重点学科”。2022年7月成为“甘肃省胸部肿瘤临床医学研究中心-分中心”。目前开展技术:从事各种实体肿瘤及淋巴瘤的诊断、新辅助化疗、术后辅助化疗、姑息性化疗、局部药物灌注化疗。内分泌治疗;肿瘤分子靶向治疗、肿瘤免疫检查点抑制剂治疗及CIK、NK等细胞免疫治疗。主持及参与多项药物临床试验,所承接临床试验完成情况良好,为广大患者带来福音。

联系我们:0935-6988068、 0935-6988063
就医地址:武威医学科学院重离子医院化疗科(康复楼2楼)。