超声造影对胆囊恶性肿瘤的诊断
超声造影对胆囊恶性肿瘤的诊断
超声造影新技术,它被誉为超声发展史上的“第三次革命”,已经越来越多被临床认可和信赖,成为超声诊断工作中不可或缺的一部分。超声造影与CT、MRI并驾齐驱,成为临床诊断疾病的三件“利器”。
超声造影技术是在常规超声基础上,通过肘静脉团注造影剂六氟化硫微气泡到达病变部位,实时动态观察病变组织的血流灌注,对于判断肿瘤性质、介入疗效评估、疗效评价提供可靠依据。超声造影检查方便、快捷、实时动态、报告立等可取,耗时短,且超声造影剂为纯血池造影剂,用量少、无需皮试、无肝肾损害、经呼吸道排除体外等优点,尤其在肝胆局灶性病变诊断较成熟。
我科病例回顾:
【临床资料】女性,患者于入院前1年无明显诱因出现上腹部疼痛,性质为胀痛,无恶心呕吐,无寒战,高热、无反酸、腹泻、无皮肤黏膜及巩膜黄染,无呕血、黑便;因外院门诊体检发现“胆囊占位”收住入院。实验室检查肿瘤标志物六项正常。
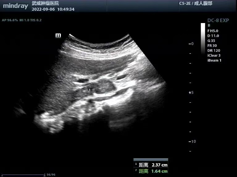
【常规超声显像】肝脏回声均匀,未见明显占位性病变;胆囊大小形态正常,囊壁增厚毛糙,胆囊腔内底部见大小30x24mm低回声团块,边界欠清,内部回声欠均匀,见点状强回声,其内见条状血流信号;肝内外胆管未见扩张,显示段内未见明显异常回声(图1)。
腹腔探查:腹主动脉旁见数个低回声肿物,边界清,回声欠均匀,其内见短条状血流信号,最大约23x16mm(图2)。
超声提示:胆囊腔内实性占位(多考虑肿瘤性病变,建议超声造影);腹主动脉旁多发低回声肿物(多考虑肿大淋巴结);

图1 胆囊腔底部低回声团块,内见条状血流信号

图2 腹主动脉旁的多发肿大淋巴结

图3 高频超声可见胆囊前壁完整,未浸润肝脏
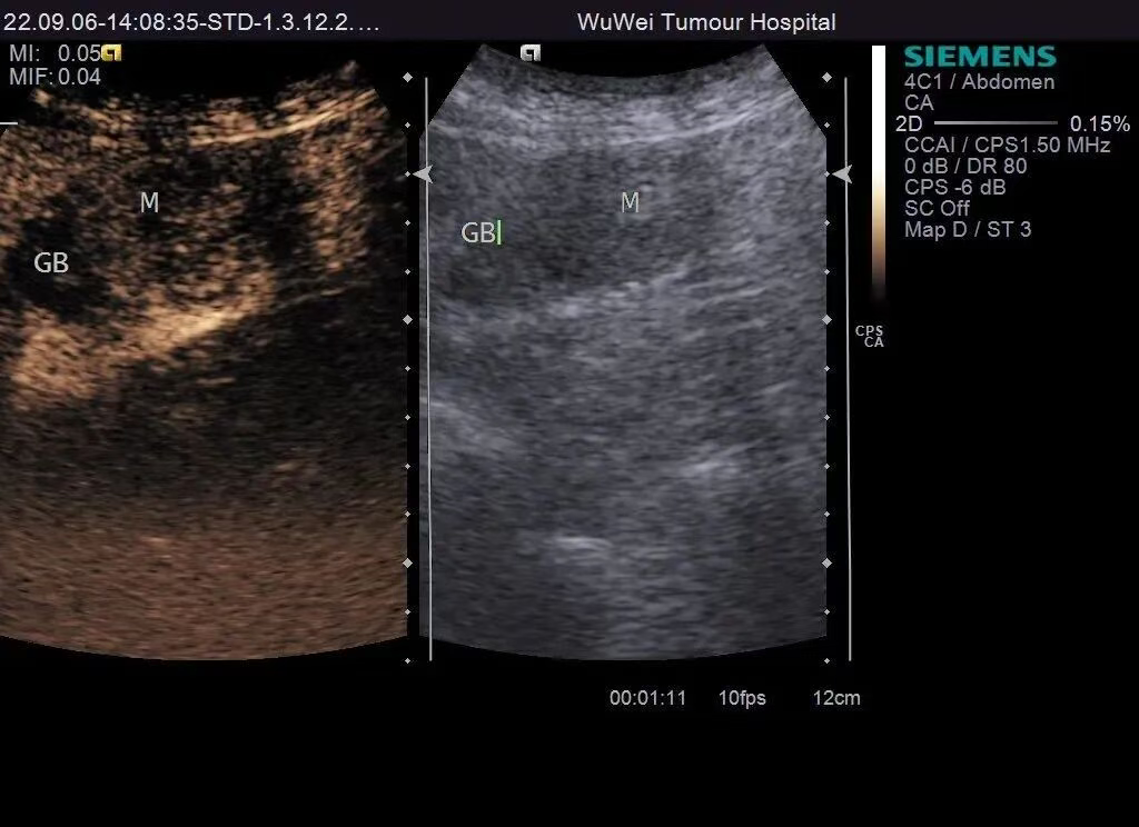
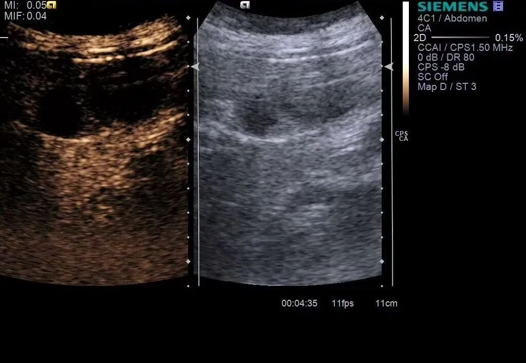
【超声造影显像】见图4、5、6

图4 超声造影灌注特征:胆囊底部低回声团块动脉期高于周围肝实质的均匀性高增强,20S达峰

图5 超声造影灌注特征:胆囊内病灶49s造影剂消退,门脉期呈不均匀低增强

图6 超声造影灌注特征:胆囊内病灶275S消退明显,延迟期呈持续低增强
【手术病理结果】术中见胆囊约9x4cm,胆囊底部有约2cmx2cm质硬肿块,已侵出浆膜外。病理结果:胆囊底部腺鳞癌,肝门淋巴结继发恶性肿瘤;癌组织浸透胆囊壁肌层,肝组织未収侵;淋巴管内、血管内、神经収侵,胆囊管切缘未见癌组织,淋巴结内见癌转移。
【诊断分析】本病例常规超声见胆囊底部低回声团块,内部探及血流信号,胆囊壁结构尚清。超声造影显示胆囊底部病灶呈“快进快出”的增强方式,首先考虑胆囊癌,肝门部淋巴结转移,与手术病理结果相符。
初审:张洁
复审:马树纤