碳离子放疗治疗复发性胸腺癌中的旁观者效应与远隔效应
碳离子放疗治疗复发性胸腺癌中的旁观者效应与远隔效应
张雁山,张一贺,李小军,胡廷朝,陈威佐,潘鑫,柴鸿钰,叶延程,中国甘肃省武威市武威重离子中心 武威肿瘤医院,邮编733000
通讯作者:叶延程,博士,主任医师,武威肿瘤医院重离子中心,地址:甘肃省武威市海藏路卫生巷31号,邮编733000,邮箱:zlyyyyc@163.com
摘要
背景
尽管旁观者效应和远隔效应在医学领域广为人知,但在临床实践中却较为罕见。本文报道了一例复发性胸腺癌患者在接受碳离子放疗后,表现出显著旁观者效应和远隔效应的病例。
病例摘要
患者女性,44岁,因呼吸困难就诊。11年前诊断为位于前上纵隔的胸腺瘤,行广泛肿瘤切除术,术后病理确诊为胸腺癌。接受术后放疗,剂量50 Gy/25次分割。2019年确诊胸腺癌复发,左胸腔及腹腔内见多发复发结节及肿块,最大病灶位于邻近心包的膈肌胸膜处,大小约6.7cm×5.3cm×4.8cm。遂行碳离子放疗。治疗结束后当天及随访影像学检查显示:不仅受照病灶明显缩小,未受照病灶亦呈现显著退缩。本病例报告严格遵循CARE指南(基于共识的临床病例报告开发指南)要求,并完整填报CASE病例报告信息核查表。
结论
本病例为人类患者接受碳离子放疗后出现显著远隔效应与旁观者效应的首例报道,仍需进一步研究以阐明这两种效应的作用机制。
关键词:旁观者效应;远隔效应;复发性胸腺癌;碳离子放射治疗;病例报告
作者(2021)。由百世登出版集团出版。版权所有。
核心提示:我们报道了一例复发性胸腺癌患者接受碳离子放疗后出现旁观者效应和远隔效应的病例。本报告首次呈现了患者在碳离子放疗后表现出的显著远隔效应和旁观者效应,但仍需更多研究来进一步阐明这两种效应的作用机制。
引用格式:张YS,张YH,李XJ,胡TC,陈WZ,潘X,柴HY,叶YC。碳离子放射治疗复发性胸腺癌中的旁观者效应与远隔效应:一例病例报告。《世界临床病例杂志》2021;9(22):6538-6543。
网址:https://www.wjgnet.com/2307-8960/full/v9/i22/6538.htm
DOI:https://dx.doi.org/10.12998/wjcc.v9.i22.6538
引言
辐射诱导的旁观者效应是指受照细胞通过信号传递,导致未受照细胞出现过度生物学反应的现象[1-5];而远隔效应则表现为远处肿瘤病灶照射后,未受照的转移病灶发生恶化[6-10]。目前,旁观者效应与远隔效应的罕见性及其潜在机制仍是研究热点。迄今为止,无论是光子放疗还是质子放疗,均未报道过单例患者同时出现这两种效应的案例。碳离子放疗作为一种重离子放疗模式,相比传统光子治疗具有双重优势:其通过物理剂量(更高的相对生物学效应)对肿瘤细胞产生更强杀伤力,同时能实现更优的剂量分布[11,12]。
本研究严格遵循基于共识的临床病例报告开发指南(CARE指南)[13],现报道一例复发性胸腺癌患者在接受碳离子放疗后,同时出现旁观者效应与远隔效应的典型案例。
病例报告
主诉
2019年12月,一名44岁女性患者因呼吸困难、心悸就诊。
现病史
2019年12月,一名44岁女性患者因呼吸困难、心悸就诊。
既往史
11年前(2009年2月),患者因纵隔肿瘤转诊至我院。胸部CT显示前上纵隔巨大占位,考虑为胸腺肿瘤。经全面检查及多学科团队会诊后,患者接受肿瘤切除术及扩大切除术(包括部分左上肺叶、膈神经及少量心包组织),手术通过正中开胸入路完成。术后病理提示:肉眼可见心包及肺侵犯,但无大血管受侵;病理诊断为Masaoka分期ⅢA期、WHO分型C类:胸腺癌。术后第35天,患者接受放疗(剂量50 Gy/25次分割),照射范围覆盖手术瘤床及上纵隔区域。未行化疗。此后患者未接受任何化疗,仅定期接受胸部CT随访。
个人史与家族史
家族中无类似病史。
体格检查
嘱患者深吸气后,症状加重。
实验室检查
血常规、生化及电解质检查均未见异常。
影像学检查
胸部CT显示:左胸腔及腹腔内多发结节与肿块,累及胸膜及腹膜。最大病灶位于邻近心包的膈肌胸膜处,大小约6.7 cm×5.3 cm×4.8 cm,其余多发肿块亦与胸膜及腹腔相贴。
最终诊断
经超声引导下对邻近心包的最大肿块行细针穿刺活检,病理确诊为胸腺癌复发。诊断仍为Masaoka分期ⅡA期、WHO分型C类:胸腺癌。
治疗
经多学科团队会诊后,专家考虑到患者无病生存期较长,且肿瘤呈惰性生物学行为,决定采用碳离子放疗靶向治疗邻近心包的最大病灶,这可能会缓解患者的心悸和呼吸困难等症状。因此我们选择了根治性碳离子放疗(CIRT),因为该方案可在剂量限制范围内实施并能保护肺和心脏。碳离子放疗能提供更好的物理剂量分布,因其横向散射较少,具有更高的相对生物学效应和更低的氧增强比,在杀灭放疗抵抗性缺氧肿瘤方面具有理想特性[14]。我们制定了CIRT方案,采用宽束法分12次向计划靶区(PTV)递送60 Gy[相对生物学效应(RBE)](RBE=3.0)。碳离子剂量以光子当量剂量(GyE)表示,即物理剂量乘以碳离子的RBE值(假设为3.0)[15]。
患者接受CIRT治疗,每周5天(周一至周五),每天1次,持续3周以上共12次固定分割。临床靶体积(CTV)结合考虑器官运动(呼吸和心跳)及摆位误差的安全边界后构成计划靶体积(PTV)。CIRT计划采用中国兰州科近泰基公司的Ci-plan计划软件制定。为保护左心室,将肿瘤邻近左心室1 cm范围内的区域设为保护区,不纳入计划靶体积。治疗计划要求90%等剂量线覆盖整个计划靶体积。
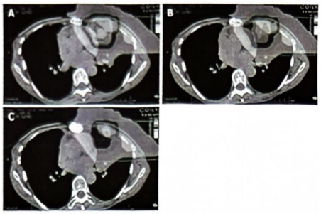
图1显示了CIRT的彩色洗消等剂量分布。实际治疗采用一个水平射野和一个垂直射野,分12次递送60 GyE总剂量。
治疗结果与随访
在完成60 Gy(RBE)碳离子放疗后的次日,我们进行了CT复查。令人惊讶的是,我们发现最大的肿瘤(包括特意保留的邻近左心室1 cm范围内的肿瘤部分)以及照射区域附近和远处的其他肿块均出现缩小。
治疗后,在碳离子放疗结束后的随访影像中观察到,不仅受照病灶明显缩小,未受照病灶也显著退缩。未给予额外治疗。在碳离子放疗期间及之后,患者的呼吸困难和心悸症状得到缓解。仅出现1级急性放射性皮炎这一不良反应,表现为轻度红斑,未出现≥2级的放射治疗肿瘤学组(RTOG)急性不良反应。根据放射治疗肿瘤学组/欧洲癌症研究与治疗组织(RTOG/EORTC)标准,患者在治疗后10个月内未出现任何晚期放射不良反应。

图1 碳离子放疗的彩色洗消等剂量分布图。采用一个水平射野和一个垂直射野进行肿瘤照射,总剂量60 GyE分12次完成。图中显示最低等剂量区域。A-C组图分别代表不同层面的扫描图像。
讨论
本病例患者在碳离子放疗后同时表现出类旁观者效应和类远隔效应,疾病缓解持续3个月。值得注意的是,放疗结束时即观察到未受照肿瘤体积缩小(无需额外治疗),这种缩小在CT影像上尤为明显。无论是高剂量照射病灶、低剂量照射病灶还是未受照病灶(近端或远端病灶)均出现显著退缩。目前仍难以判断这一现象是由于患者胸腺癌本身固有的易感性、患者免疫系统的特殊特性,还是碳离子束系统特有的治疗优势所致。
该患者是我院重离子中心正式治疗的第二例患者。武威重离子中心(WWHIC)位于甘肃省武威市,是中国首个专用重离子癌症治疗机构,由中国科学院近代物理研究所设计,兰州科近泰基公司制造。该中心于2018年11月启动专用重离子医用加速器产生的碳离子临床应用,并于2019年9月29日获得国家药品监督管理局批准,注册为Ⅱ类医疗器械。作为中国首个高端医疗设备配置的重离子治疗中心,该设施专门用于恶性肿瘤治疗。武威重离子中心隶属于武威肿瘤医院,其临床应用于2019年4月1日正式启动。截至2020年1月25日(运行9个月后),该中心已采用碳离子放疗(CIRT)治疗218例患者。
在本中心,CIRT治疗计划采用国产碳离子计划系统(ciPlan 1.0版,中国科学院近代物理研究所,兰州)制定,包含生物计划优化功能,其基于局部效应模型计算局部区域的相对生物学效应(RBE)值。治疗实施通过ciTreat系统(中国科学院近代物理研究所,兰州)完成。本中心自主研发了被动束流和强度调制栅扫描系统,本案例患者采用被动束流输送系统配合两种不同的适形照射方法。
远隔效应最早报道于1953年[16],此后关于常规放疗(如恶性淋巴瘤、肝细胞癌、宫颈癌、黑色素瘤和结直肠癌等)引发远隔效应的临床报道逐渐增多[17]。旁观者效应的病例报道极少,但相关实验室研究和文献综述较多[18-20]。然而,旁观者效应和远隔效应的潜在机制仍不明确。
本研究展示了极少数病例中放疗后原位肿瘤疫苗的形成过程,进而引发对肿瘤组织的全身性反应——通过照射增强靶肿瘤的免疫原性,诱导CD8β效应T细胞对靶肿瘤产生强烈应答。放疗既能抑制免疫也能激活免疫:照射后肿瘤细胞可将多种识别抗原(如钙网蛋白)转运至细胞表面,从而增强免疫系统的识别与应答。Durante等[21]近期研究证实,受照细胞表现出普遍的T细胞敏感性,这可能增强放疗后机体对原发肿瘤的免疫应答[21]。但肿瘤旁观者效应和远隔效应如何被免疫系统识别的具体机制仍有待阐明。
结论
本病例首次报道了碳离子放疗后患者同时出现显著的远隔效应与旁观者效应,这两种效应的发生机制仍有待深入研究阐明。
参考文献
1 Heeran AB, Berigan HP, O'Sullivan J, The Radiation-Induced Bystander Effect (RlBE) and its Connections with the Hallmarks of Cancer, Radiat Res 2019; 192: 668-679 [PMID: 31618121 DO1:10.1667/RR15489.1]
2 Hargitai R, Kis D, Persa E, Szatmári T, Sáfrány G, Lumniczky K, Oxidative Stress and Gene Expression Modifications Mediated by Extracellular Vesicles: An In Vivo Study of the Radiation-Induced Bystander Effect. Anrioxidants (Basel) 2021; 10 [PMID: 33494540 DO1:10.3390/antiox10020156]
3 Du Y, Du S, Liu L, Gan F, Jiang X, Wangrao K, Lyu P, Gong P, Yao Y, Radiation-Induced Bystander Effect can be Transmitted Through Exosomes Using miRNAs as Effector Molecules. Radiat Res 2020; 194: 89-100 [PMID: 32343639 DO1: 10.1667/RADE-20-00019.1]
4 Tan W, Zhang Y, Li M, Zhu X, Yang X, Wang J, Zhang S, Zhu W, Cao J, Yang H, Zhang L. miR.27a-containing Exosomes Secreted by Irradiated Skin Keratinocytes Delayed the Migration of Unirradiated Skin Fibroblasts, Int J Biol Sci 2019: 15: 2240-2255 [PMID: 31592237 DOI:10.7150/ijbs.35356]
5 Deng C, Wu J, Wang T, Wang G, Wu L, Wu Y, Bian P, Negative Modulation of Bystander DNA Repair Potential by X-Ray Targeted Tissue Volume in Arabidopsis thaliana. Radiar Res 2019; 191:556-565 [PMID: 31017526 DOI: 10.1667/RR15314.1]
6 Espenel S, Vallard A, Rancoule C, Garcia MA, Guy JB, Chargari C, Deutsch E, Magné N. Melanoma: Last call for radiotherapy, Crit Rev Oncol Hematol 2017; 110: 13-19 [PMID: 28109401 DOl: 10.1016/j.critrevonc 2016.12.003]
7 Ishiyama Y, Takagi T, Yoshida K, lizuka J, Kakuta Y, Okumi M, lshida H, Tanabe K. Possible abscopal effect in urothelial carcinoma of the upper urinary tract after treatment with immune checkpoint inhibitors, IJU Case Rep 2020; 3: 25-27 [PMID: 32743462 DOl: 10.1002/iju5.12133]
8 D'Andrea MA, Reddy GK, Extracranial systemic antitumor response through the abscopal effect induced by brain radiation in a patient with metastatic melanoma. Radiat Oncol J2019; 37: 302-308 [PMID: 31918469 DOl: 10.3857/roj.2019.00437]
9 Trommer M, Yeo SY, Persigehl T, Bunck A, Grüll H, Schlaak M, Theurich S, von Bergwelt-Baildon M, Morgenthaler J, Herter JM, Celik E, Marnitz S, Baues C. Abscopal Effects in Radio-lmmunotherapy-Response Analysis of Metastatic Cancer Patients With Progressive Disease Under Anti-PD-1 Immune Checkpoint inhibition, Front Pharmacol 2019; 10: 511 [PMID: 31156434 DOI:10.3389/fphar.2019.00511]
10 Abbas W, Goel V, Verma A, Gupta VG, Rao RR. Harnessing the lmmunomodulatory Effects of Radiation in Urinary Bladder Cancer, Cureus 2019; 11: e4108 [PMID: 31058002 DOI:10.7759/cureus.4108]
11 Gagnier JJ, Kicnlc G, Altman DG, Moher D, Sox H, Rilcy D; CARE Group. The CARE guidelines: consensus-based clinical case reporting guideline development. BMJ Case Rep 2013; 2013 [PMID:24155002 DO1:10.1136/ber-2013-201554]
12 Haefner MF, Verma V, Bougatf N, Mielke T, Tonndorf-Martini E, König L, Rwigema JM, Simone CB 2nd, Uhlmann L, Eichhom F, Winter H, Grosch H, Haberer T, Herfarth K, Debus J, Rieken S. Dosimctric comparison of advanced radiotherapy approaches using photon techniques and particle therapy in the postoperative management of thymoma, Acta Oncol 2018: 57: 1713-1720 [PMID:30264630 DO1: 10.1080/0284186X.2018.1502467]
13 Mohamad O, Tabuchi T, Nitta Y, Nomoto A, Sato A, Kasuya G, Makishima H, Choy H, Yamada S.Morishima T, Tsuji H, Miyashiro I, Kamada T, Risk of subsequent primary cancers after carbon ion radiotherapy, photon radiotherapy, or surgery for localised prostate cancer: a propensity score-weighted, retrospective, cohort study.Lancet Oncol 2019;20: 674-685 [PMID: 30885458 DOI: 10.1016/ S1470-2045(18)30931-8]
14 Kamada T, Tsujii H, Blakely EA, Debus J, De Neve W, Durante M, Jakel O, Mayer R, Orecchia R