乳腺癌碳离子放射治疗:替代手术的根治性方案探索
乳腺癌碳离子放射治疗:替代手术的根治性方案探索
乳腺癌是全球女性最常见的肿瘤,严重威胁女性的生命健康,是中国女性癌症死亡的第六大原因。
近几年来,我国的乳腺癌发病率连续上升且越来越多的年轻人患乳腺癌。根据2018的统计数据显示,在全球范围内,我国乳腺癌的发病率和死亡率分别在154个国家和104个国家中排名第一。医学技术的飞速发展,使得更多的患者可以在疾病早期获得诊断 。乳腺癌根治术是由Halsted在1882年创立的,手术治疗在乳腺癌治疗中仍起着重要的作用,以手术为主,术后行放化疗、内分泌、靶向治疗是目前治疗乳腺癌的主要手段。
乳腺癌的非手术治疗目前处于探索阶段,包括射频消融、冷冻消融、立体定向放射治疗(stereotactic body radiation therapy, SBRT)、碳离子放射治疗(carbon ion radiotherapy, CIRT)。这些治疗手段为不愿或者不能接受手术治疗的患者提供了除手术以外的治疗手段,但目前这些局部治疗手段仅适合肿瘤瘤体<2 cm的微浸润癌。而碳离子治疗对于乳腺癌治疗的安全性及有效性需要进一步探索。
本文通过分享 1 例经武威碳离子治疗系统治疗的乳腺癌典型病例,为碳离子替代手术治疗乳腺癌的临床研究提供参考。
临床资料
患者,女性,44岁
主诉:“发现右侧乳腺肿物7个月”于2020-05-30入院。患者于入院前7个月无意间发现右侧乳腺外下方有一 3 cm×3 cm大小无痛性肿物,未给予重视。于2020-03患者出现右侧乳腺间断性针刺样疼痛,进一步行超声检查提示:右侧乳房可见一低回声结节,建议穿刺。
行右侧乳腺穿刺术,术后病检提示:非特殊类型浸润性癌,免疫组化提示:CK(+),ER(+,40%,弱-中),PR(+,30%,弱),Her-2(1+),P63(−),CR5/6(−),E-cad(+),Ki-67(+,50%)。
患者口服中药治疗,1个月后复查乳腺超声与前次相比肿物较前略增大。患者因个人宗教信仰不愿接受手术导致器官缺失,拒绝手术治疗,于2020-05-30入院就诊,门诊以"乳腺恶性肿瘤"收住入院。
病程中,患者神志清楚,精神一般,饮食正常,睡眠良好,大小便正常。既往否认"高血压""心脏病""糖尿病""脑血管病",否认"肝炎""结核""疟疾"等传染病病史,2009年在当地医院行"剖宫产"手术,无外伤史,无输血史,无食物及药物过敏史。无吸烟、饮酒史。无冶游史。13岁月经初潮,月经周期21~25 d,行经天数2~5 d,末次月经时间为2020-05-07。姐姐患有乳腺癌。
体格检查:右侧腋窝可触及1 cm×1 cm大小肿大淋巴结,边界清楚,质韧,活动度可,无压痛。右侧乳腺外下象限可触及一3 cm×3cm大小肿物,边界清楚,质韧,活动度可,无压痛。
检 查
乳腺彩超提示:右侧乳腺实性肿物,右侧腋下淋巴结肿大。胸部CT提示:右乳内异常强化结节、肿块影,多考虑乳腺癌(2.5 cm×1.7 cm);右侧腋窝增大淋巴结,最大约1.2 cm×0.6 cm;双侧腋窝数个小淋巴结。
右乳穿刺术后病检提示:非特殊类型浸润性癌。免疫组化提示:CK(+),ER(+,40%,弱-中),PR(+,30%,弱),Her-2(1+),P63(−),CR5/6(−),E-cad(+),ki-67(+,50%)。
诊断与鉴别诊断
诊断:结合患者病理检查结果,明确诊断右侧乳腺浸润性癌,分期为cT2N1MxⅡB期(AJCC分期第8版)。病理诊断明确,无须鉴别。
治 疗
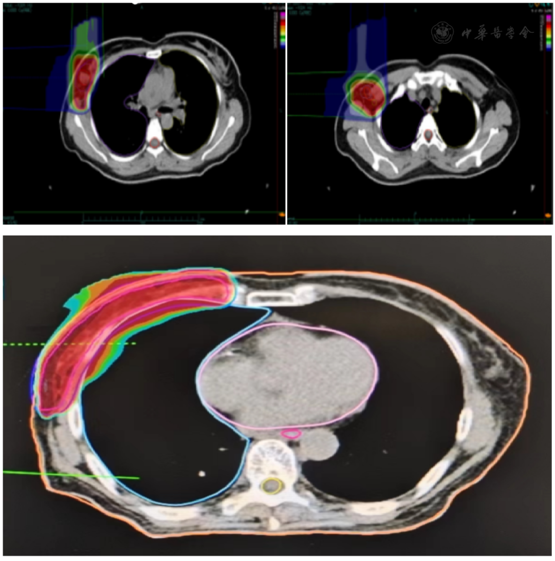
患者拒绝手术并入院就诊,给予右乳肿物,右侧腋窝转移淋巴结、右侧胸壁、右侧腋窝及锁骨淋巴结引流区碳离子治疗,剂量为72 Gy(RBE)/12Fx( 图1 , 图2 )。

图1 剂量云图 A:原发灶剂量云图;B:腋窝淋巴结剂量云图;C:胸壁剂量云图

图2 DVH图
具体放疗计划为:GTVt为右乳病灶,GTVn为右侧腋窝转移淋巴结;CTVt(GTVt+0.5 cm),CTVn(GTVn+0.5 cm),CTV(CTVn+CTVt+右侧胸壁、右侧腋窝及锁骨淋巴结引流区),右侧胸壁上界为乳腺组织最上缘约2 cm并与锁骨上/下野接衔,下界为乳房褶皱下2 cm,后界包括1 cm肺组织,前界为乳房前界,内界为乳房组织内缘;外界与腋窝野衔接。锁骨上/下野上界为环甲膜水平,下界与胸壁野接衔,内界为胸锁乳突肌内缘,外界为肱骨头内缘。腋窝野与锁骨上下野及胸壁野接衔,下界在第二肋间,外界包括肱骨颈。PTV(CTV+0.5 cm),PTV【48Gy(RBE)/12Fx】,PTVn【60Gy(RBE)/12Fx】,PTVt【72Gy(RBE)/12Fx】;90%的PTV满足90%的处方剂量。危及器官剂量受量为:食管【Dmax=1.9Gy(RBE)】,右肺【D20%=1.5Gy(RBE)】,脊髓[Dmax=0.3Gy(RBE)]。综合治疗方面,患者拒绝化疗,根据CSCO乳腺癌指南推荐,对于不耐受化疗、不接受化疗或化疗疗效欠佳的激素受体阳性患者可行内分泌治疗,故给予患者"枸橼酸他莫昔芬片10 mg/次、2次/d"内分泌治疗及"醋酸戈舍瑞林缓释植入剂3.6 mg、皮下注射、每4周1次"卵巢去势治疗。
治疗结果、随访及转归
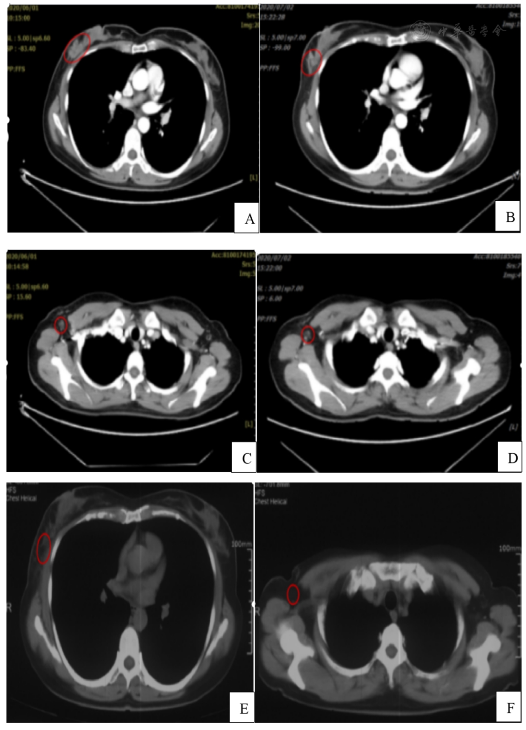
治疗完成后复查患者右乳原发病灶由2.5 cm×1.7 cm缩小至2.1 cm×1.2 cm( 图3A、B ),右侧腋窝转移淋巴结由1.2 cm×0.6 cm缩小至0.8 cm×0.5 cm( 图3C、D )。根据实体瘤疗效评价RECIST1.1标准:SD。根据RTOG放疗反应国际标准,治疗结束时患者右侧腋窝及乳腺皮肤轻度色素沉着,为1级急性皮肤反应。治疗结束后3周患者右侧腋窝及乳腺皮肤斑片状湿性脱皮,为2级急性皮肤反应。经过治疗后急性皮肤反应减轻并逐渐修复。其后按期随访,治疗结束后9个月复查胸部CT提示病灶完全消失,并无远处转移( 图3E、F ),根据实体瘤疗效评价RECIST1.1标准:CR。

图3 患者胸部CT
A:治疗前右乳原发灶;B:治疗后右乳原发灶;C:治疗前右侧腋窝转移淋巴结;D:治疗后右侧腋窝转移淋巴结;E:治疗后9个月右乳肿物消失;F:治疗后9个月右腋窝转移淋巴结消失
讨 论
关于乳腺癌的碳离子治疗,2013-04至2015-11日本开展了一项关于碳离子放射治疗Ⅰ期乳腺癌局部放疗的临床研究,除1例高级别病例外,肿瘤完全消失。对于Ⅰ期乳腺癌患者,通过谨慎地对患者进行选择,碳离子放射治疗被认为是有效和安全的。2014年,日本发表了世界上第1例碳离子治疗早期乳腺癌的病例报告,治疗过程中仅发生1级皮肤反应,对肺、心脏和对侧乳房的剂量很小或测量不到,显示出了碳离子治疗过程中对周围正常组织器官的低损伤,对不愿意接受手术治疗的乳腺癌患者,提供了另一种治疗的选择,也为世界其他机构进行乳腺癌根治性放疗提供参考。当然,对于不愿接受手术的患者直接选择碳离子放射治疗,还需要更多的病例数及长期的随访来证实。
本例患者为拒绝手术及化疗而直接接受碳离子放射治疗的ⅡB期乳腺癌患者,同步行内分泌治疗。近期随访资料来看,患者右侧乳腺及腋窝淋巴结完全消失,无远处转移病灶,近期治疗疗效为CR,但患者治疗结束后急性皮肤反应达2级,分析原因首先考虑为乳腺病灶及腋窝肿大淋巴结距离皮肤较近,剂量跌落较慢。其次为我中心开诊初期仅有被动束扫描方式,剂量无法实行调强模式,射野路径上靶区前方剂量较高所致。因此,碳离子放射治疗中如何保护乳腺及腋窝皮肤又是一个需要我们探索的问题。
患者治疗后9个月随访胸部CT提示治疗后病灶完全消失,可以完美地达到美容效果,这是与手术治疗的最大区别。手术治疗需要全身麻醉,并且会有手术瘢痕形成,甚至乳房切除,对于部分女性来说难以接受。碳离子放射治疗后1~3个月,肿瘤逐渐缩小,直至不可触及,治疗后不良反应较轻,患者的依从性和舒适度良好。
乳腺癌的非手术治疗包括射频消融、冷冻消融治疗和立体定向放疗(stereotacic body radiotherapy,SBRT)。其中报道最多的是射频消融,Ito等报告了从2003—2009年在10个中心接受射频消融治疗的386例患者的5年乳腺内无复发率为97%、94%和87%。Nguyen等回顾了30项研究的643例射频消融病例,完全消融率为100%~44%,中位数为88%。在冷冻消融治疗方面,Lanza等回顾了2003—2013年的7项研究,共176例病例,发现肿瘤完全局部控制达73%。关于根治性的SBRT,报道更少。Shibamoto等对18例拒绝手术,进行全乳照射和SBRT推量,并联合放射增敏剂KORTUC的患者治疗疗效进行了报道,只有1例出现局部复发。而关于乳腺癌的碳离子治疗,日本NIRS中心治疗的Ⅰ期乳腺癌的研究,报道了7例接受碳离子治疗的Ⅰ期乳腺癌的前瞻性Ⅰ期试验,纳入患者年龄超过60岁,预期寿命为6个月,肿瘤分期为Ⅰ期,单发肿瘤直径小于2 cm,免疫组化表达为ER阳性,HER2阴性 。治疗过程中患者对治疗耐受良好。4例患者出现急性1级皮肤毒性,无其他毒性反应。随访3个月,1例患者出现CR,5例患者部分缓解(partial response,PR),1例患者为SD。6例患者术后接受内分泌治疗。经过37~48个月的随访,没有患者复发。而本例患者碳离子治疗后54个月,根据目前随访结果提示患者无任何临床异常症状;且根据患者危及器官剂量受量远远低于正常限量,患者仅出现了2级急性皮肤反应,经过治疗后急性皮肤反应减轻并逐渐修复,整个治疗过程中再未出现其他治疗相关不良反应。与射频消融、冷冻消融治疗和立体定向放疗相比,碳离子放射治疗具有高肿瘤控制和低不良事件的优点。
碳离子治疗尚未广泛应用于乳腺癌的治疗。虽然相关研究少,但CIRT具有明显的物理和生物学特性,未来可能使大量乳腺癌患者受益。碳离子束进入人体后大量能量沉积形成Bragg峰,使高剂量区完地嵌合在肿瘤靶区上,这种物理特性比光子放疗不仅在剂量分布方面具有更高的精度,而且可以更显著地保护正常组织。碳离子兼有高线性能量传递(linear energy transfer,LET)的特点,有更高的相对生物效应(relative biological effectiveness,RBE),更低的氧增敏比,这些优势可进一步提高对肿瘤的杀伤效应和治疗安全性。
随着经济的发展,疾病治疗需求的提高,越来越多的乳腺癌患者不仅要求提高生存期,同时要求治疗不良反应小,因此,碳离子根治性治疗乳腺癌是一个新的课题。目前,由于治疗费用和设施数量有限,乳腺癌碳离子放疗仍是一种有限的治疗方法。就目前本院治疗的本例乳腺癌患者的近期疗效来看,碳离子放疗治疗乳腺癌的临床研究有良好的探索前景,对于一些拒绝接受手术治疗的乳腺癌患者,直接进行碳离子放射治疗,近期疗效显著,毒副作用可耐受。但局部控制率能否达手术治疗水平,需要更长的随访时间来证实。
碳离子放射治疗(CIRT)是一种先进的放疗技术,使用高能碳离子粒子束来破坏肿瘤细胞的DNA,从而阻止其生长和繁殖。不同于传统放疗主要使用光子射线(如X射线和γ射线),CIRT利用的是重离子,特别是碳离子,因其具有独特的物理和生物学属性,使其在治疗某些类型的肿瘤时更为有效。
作者:张一贺、张雁山、潘鑫、王馨、杨钰玲、马彤、何娜娜、马霄云、李万国
图文来源:张一贺,张雁山,潘鑫等. 乳腺癌患者接受碳离子放射治疗1例. 中国临床案例成果数据库,2025,07(01):E0137-E0137. DOI:10.3760/cma.j.cmcr20241024-02240
编辑:Ricker
若涉及版权问题,请作者联系我们,我们会第一时间处理,谢谢!