骨髓转移癌:身体里的“不速之客”
骨髓转移癌:身体里的“不速之客”
提到癌症,很多人会想到肺、胃、乳腺、肝胆这些常见部位的肿瘤,但你知道吗?癌细胞还可能“跑”到骨髓里,这就是我们今天要聊的骨髓转移癌(BM-Ca)。
什么是骨髓转移癌?
简单说,骨髓转移癌不是一开始就长在骨髓里的癌症,而是由其他部位的癌细胞通过血液或淋巴系统“迁移”到骨髓里,并在这里扎根生长。就像杂草从别处蔓延到花园,挤占了原本属于正常细胞的空间。
常见的容易转移到骨髓的癌症有:乳腺癌、前列腺癌、肺癌、胃癌、结直肠癌、大汗腺癌等。这些癌细胞一旦进入骨髓,就会影响骨髓的正常功能。
身体会发出哪些“信号
骨髓的主要功能是生产血细胞(红细胞、白细胞、血小板),当癌细胞入侵后,这些功能会受到干扰,身体可能出现以下表现:
1.贫血:经常头晕、乏力、脸色苍白,因为红细胞生成减少了。
2.容易出血:牙龈出血、皮肤出现瘀斑,这是血小板不足的表现。
3.反复感染:免疫力下降,稍微受凉就感冒,或者伤口容易发炎,因为白细胞生成受影响。
4.骨痛:癌细胞破坏骨骼,可能出现全身痛、腰背痛、四肢骨痛,活动时更明显,甚至可能发生骨折(病理性骨折)。
如何发现和诊断?
如果有癌症病史,或者出现了上面这些症状,需通过以下检查来明确诊断:
1. 血液检查:查血常规(看红细胞、白细胞、血小板数量),查肝肾功能、血钙等指标。
2.骨髓穿刺术,或骨髓组织活检术。是确诊骨髓转移癌的“金钥匙”(有时需多部位穿刺,或请经验丰富的血液科医生做骨穿,尤其胸骨部位骨穿)。
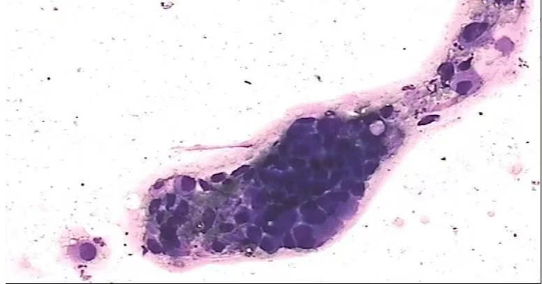
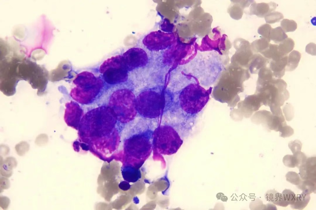
骨髓涂片:骨髓转移癌癌巢:


骨髓细胞形态学报告:


3.影像学检查:比如骨扫描、CT或MRI、PET/CT,能发现骨骼被破坏的部位。


得了骨髓转移癌该怎么办?
虽然听起来可怕,但骨髓转移癌并不是无药可救。治疗的目标主要是控制癌细胞生长、缓解症状、提高生活质量与生存质量、延长生存时间。常用的方法有:
1.针对原发病的治疗:比如乳腺癌转移到骨髓,可能会用治疗乳腺癌的化疗药与靶向药(治病求本)。
2.对症治疗:改善贫血,升血小板,升白细胞,骨痛时用止痛药或抑制骨破坏的药物等。
3.支持治疗:加强营养、注意休息,提升身体抵抗力。
4.改善骨质疏松,预防病理性骨折:双磷酸盐制剂、地舒单抗等。
5.特殊技术与范围的定位放射治疗(放疗,RT)。
重要提醒
骨髓转移癌大多发生在癌症晚期,但早发现、早干预、早治疗能显著减轻痛苦、延长生命。如果是癌症患者,要定期复查;
警惕骨痛!如果出现不明原因的骨痛、乏力等症状,别大意,及时就医检查。
身体就像一个精密的机器,任何部位的异常都值得关注。了解骨髓转移癌,不是为了恐慌,而是为了更好地守护健康。
肿瘤内科/血液病科

专业团队
科室拥有一支专业医护人员精英团队。医疗团队中,特聘专家白海教授和潘铭教授均为一级主任医师,在业内享有盛誉,拥有深厚的学术造诣和丰富的临床经验,为科室的诊疗水平提供了坚实的保障。同时,科室还配备了合理完整的人才梯队,并不断完善和提高人才培养机制,确保为患者提供高质量、多层次的医疗服务 。护理团队会以高度的责任心和专业的护理技能,为患者提供全方位、精细化的护理服务 ,确保患者在治疗过程中的舒适与安全。
诊疗范围
科室专注于各类血液系统及实体肿瘤良恶性疾病的精准诊断与治疗。尤其在难治复发血液病及实体肿瘤疾病的处理上具有显著优势。重点开展血液系统疾病,如白血病 、 淋巴瘤 、 多发性骨髓瘤 、各类贫血等,以及常见实体肿瘤疾病,如肺癌、胃癌 、结直肠癌 、 乳腺癌 等的内科治疗。无论是常见疾病还是疑难病症,科室都能凭借专业的医疗技术和丰富的临床经验,为患者提供精准的诊断和有效的治疗方案。
诊疗技术
多元化治疗手段:科室采用国际先进的治疗理念和方法,治疗手段涵盖化疗、靶向治疗、 免疫治疗 、内分泌治疗、支持治疗、 细胞治疗 及中西医结合治疗等。针对不同患者的病情和身体状况,制定个性化的综合治疗方案,以达到最佳的治疗效果。
精准诊断技术:依托血液病中心实验室先进的骨髓形态学、骨髓病理、流式细胞术、 基因检测等MICM 分型技术,科室能够对血液系统疾病进行精准诊断和分型,为制定个性化诊疗方案提供科学依据。通过这些先进技术,能够更准确地了解患者的病情,从而实现精准治疗,提高治疗效果。
层流病房保障:科室配备的层流病房,能够为接受高剂量化疗、造血干细胞移植等对感染防控要求高的患者提供安全、舒适的治疗环境。层流病房采用先进的空气净化技术,有效降低感染风险,为患者的治疗提供有力保障。
科室专家简介

主任医师 潘 铭
甘肃省武威肿瘤医院兰州重离子中心肿瘤内科/血液病科主任、血液病中心实验室主任。中西医结合内科一级主任医师,血液内科首席专家。甘肃省名中医,甘肃省卫生厅领军人才,甘肃省省级医疗卫生重点学科(血液内科)带头人,甘肃省医疗卫生中青年学术技术带头人,甘肃省优秀科技工作者,甘肃省卫生系统优秀共产党员,获得甘肃省“五一”劳动奖章、甘肃好人等荣誉。享受政府高层次人才津贴。
从事中西医结合内科、血液内科临床与血液病实验研究工作42年。擅长中西医结合诊断治疗各类型贫血、再生障碍性贫血、溶血病、白血病、淋巴瘤、多发性骨髓瘤、MDS、骨髓增殖性肿瘤、骨髓转移癌、血小板减少症、血栓与出血、TTP、过敏性紫癜、DIC等血液与淋巴系统疾病,骨髓血细胞形态学研究,造血干细胞移植,及中西医结合治疗内科疑难杂症。

副主任医师 丁建华
甘肃省武威肿瘤医院兰州重离子中心肿瘤内科/血液病科副主任,副主任医师。
善于通过运用MICM分型技术精准诊断恶性血液系统疾病,并通过化放疗,靶向治疗,免疫治疗,细胞治疗等MDT团队的综合治疗手段及医学前沿知识为包括血液系统疾病(白血病、淋巴瘤、多发性骨髓瘤、各类贫血等)和常见实体肿瘤疾病(肺癌、胃癌、结直肠癌、乳腺癌等)患者提供个体化适应性的内科治疗,同时对血液肿瘤及实体肿瘤相关并发症的处理有丰富的临床经验,发表科研论文10余篇。