因为有你“胰”生平安——重(碳)离子治疗胰腺癌五问
因为有你“胰”生平安——重(碳)离子治疗胰腺癌五问
1、什么是胰腺癌,得了胰腺癌怎么办?
胰腺癌是生长在胰腺上的恶性肿瘤,被称为“癌王”,是一种高致命性的消化道肿瘤,恶性程度极高。胰腺位于腹膜后,腰椎前方,位置比较隐蔽,被十二指肠肠管和胃包绕,结构复杂,所以早期胰腺癌一般没有明显的不适症状,当出现疼痛等临床症状时,大部分患者已处于胰腺癌晚期,失去根治性手术的机会,生存期短,预后特别差。过去十年里,胰腺癌的全球病例数增长了近1倍。患胰腺癌以后,要保持积极地心态,选择正规医院进行专业化治疗,在保证生活质量的同时尽可能延长存活时间。
2、胰腺癌传统治疗方式是什么?
早期胰腺癌常规治疗方式为手术切除,但由于胰腺癌的解剖位置深、解剖结构复杂,导致胰腺癌根治性手术难度特别大,患者术后活质量差。即使由经验丰富的主刀医生采取根治性手术切除,5年生存率也低于20%。放化疗是不能手术胰腺癌患者的常规治疗方式,然而,胰腺周围的胃、十二指肠和小肠都属于放疗敏感器官,放疗剂量增高时发生溃疡和穿孔的机率明显增大,因此,放疗的剂量受限而达不到胰腺癌的治疗效果;而且胰腺癌瘤体内部极度乏氧,也导致它对常规光子放疗及化疗抵抗,治疗疗效差。
3、为什么重(碳)离子特别适合治疗胰腺癌?
为了获得更先进的放疗技术,科学家一直不断地研究和实验,发现了碳离子在放疗治疗中具有独特的放射物理和生物学优势,治疗胰腺癌疗效更明显,而副作用更小。碳离子束是高能量射线,它在Bragg峰区利用直接电离的方式导致肿瘤细胞大量的DNA双链断裂,彻底杀死乏氧的肿瘤细胞。同时在碳离子射束路径上到达射程终末时能量全部释放,形成Bragg峰,更好的保护胰腺周围的肠管及胃,明显的减少了溃疡和穿孔的发生,患者治疗体验较好,而且住院时间明显缩短(胰腺癌碳离子治疗常规12次就够了)。
4、重(碳)离子治疗胰腺癌效果怎么样?
日本是最早应用碳离子治疗胰腺癌的国家,日本国立放射医学研究所(NIRS)报道,胰腺癌患者碳离子治疗后中位生存期高达25.9个月,疗效明显优于普通光子及化疗,甚至超过早期胰腺癌的手术治疗(22.1个月)。碳离子治疗适用于各种分期的胰腺癌患者,如早期胰腺癌因手术风险大拒绝手术的患者;或因其他原因没办法选择手术的患者;局部晚期胰腺癌患者可以选择根治性碳离子放疗;晚期胰腺癌患者有疼痛、压迫症状等可选择碳离子姑息性放疗止痛、改善生活质量;术后、放化疗后复发的胰腺癌患者;淋巴结转移、肝脏、肺、脑、骨等脏器转移的胰腺癌也可选择碳离子姑息性治疗。
5、为什么要选择武威肿瘤医院放疗一科?
武威肿瘤医院重离子中心拥有国内运行的首台国产重离子加速器设备,是西北第一家重离子医院,已经形成了整套中离子照射技术规范。放疗一科开展胰腺癌、肝癌、结直肠癌、前列腺癌等腹盆部肿瘤重离子光子放射治疗。自开诊以来,国内各地胰腺癌患者慕名而来,先后治疗来自全国各地内各地胰腺癌患者80余例,1年局部控制率高达90%,疗效确切,患者治疗体验较好。该数据达到甚至超过了全球部分重离子中心治疗胰腺癌的数据,治疗疗效得到国内外知名专家及广大患者的充分认可。



胰腺癌患者治疗前专家MDT会诊及查房
病例一
张XX,男,56岁,主诉:间断上腹部胀痛8月,恶心、呕吐10天。入院评估:腹部核磁(2020-12):胰腺钩突部及邻近肠系膜动静脉周围肿块,肠系膜上静脉受侵闭塞,十二指肠水平部压迫及狭窄。临床诊断为:1.胰腺勾突部腺癌;2.十二指肠水平部梗阻;3.重度营养不良;4.胃潴留。

碳离子治疗前患者胰腺病灶
治疗过程
因胰腺病灶压迫十二指肠水平部导致高位消化道肠梗阻,引起胃潴留及进食后呕吐,患者入院后行营养管置管及胃肠减压,保证营养支持充足及胃排空状态前提下,于2020-12-29日开始碳离子治疗,剂量:55.2Gy(RBE),共治疗12次。治疗第7次疼痛明显缓解,治疗期间肿瘤标志物明显下降。治疗后一个月患者完全正常饮食,肿瘤缩小,治疗6个月后肿瘤坏死,活性完全消失。

胰腺癌碳离子治疗靶区计划

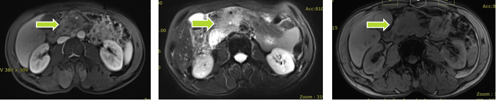
碳离子治疗后胰腺癌疗效评价
病例二
王XX,男,81岁,主诉:上腹部胀痛3月。入院评估:腹部核磁:胰体部肿块(5.4x4.7cm),考虑肿瘤性病变,胰腺癌可能,脾动脉局部包绕,邻近胃小弯受累待排。临床诊断:胰体部腺癌。

碳离子治疗前胰腺癌病灶 (5.4x4.7cm)
治疗过程
2021-6-24日开始碳离子治疗,共12次。治疗第5次,疼痛开始缓解,治疗结束后疼痛消失。治疗后3月胰腺病灶明显缩小,治疗后9个月胰体肿瘤消失。患者治疗过程舒适,正常进食,且疼痛缓解快,治疗效果显著。

碳离子治疗胰腺癌疗效评价
武威重离子中心简介
武威医科院肿瘤医院重离子中心是中国首台重离子系统临床应用中心。自2020年3月正式投入临床应用以来,已成功运营3年。截至目前,我中心已完成治疗700余人,针对人体头颅、胰腺、肺等部位疑难病灶,取得了良好的治疗效果,治疗患者来自全国各地。中心在成功运行三周年的基础上,打造全国首个肿瘤康养小镇,建成以肿瘤综合治疗、饮食管理治疗、心身健康管理、中医辨证治疗、康复理疗、生物免疫细胞治疗、田园治疗、文化治疗为特色的全方位、全生命周期健康管理体系。










放疗一科简介

放疗一科作为腹盆组肿瘤放射治疗专科,主攻胰腺癌、肝癌、结直肠癌、前列腺癌等腹盆部肿瘤的碳离子及光子放疗。自开诊以来,国内各地胰腺癌患者慕名而来,先后治疗来自全国各地内各地胰腺癌患者80余例,1年局部控制率高达90%,疗效确切,患者治疗体验较好。该数据达到甚至超过了全球部分重离子中心治疗胰腺癌的数据,治疗疗效得到国内外知名专家及广大患者的充分认可。