内镜“秘籍”——降“瘤”功夫
内镜“秘籍”——降“瘤”功夫
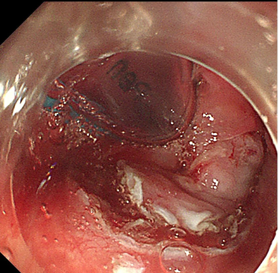
”双龙取水“之下咽部、食管双重早癌
手术过程


食管病灶




咽部病灶




患者术后病检
1.(食管33处)食管糜烂型鳞状细胞癌,Ⅱ级,肿瘤大小0.6×0.3cm,癌组织局限于黏膜内(M2);淋巴管及血管内未见癌栓;送检组织四周及基底部切缘未见癌组织。免疫组化结果显示:CD34(未见癌栓),D2-40(未见癌栓),Desmin(平滑肌+),E-cadherin(+),Ki-67(index≈40%),P53(+,突变型)。
2.(下咽部)隆起型鳞状细胞癌,Ⅱ级,肿瘤大小1.8x1.2,癌组织侵及黏膜固有层;淋巴管及血管内未见癌栓;切缘及基底部切缘未见癌组织,(肿物距基底部切缘约200微米)。免疫组化结果显示:CD34(未见癌栓),C-erbB-2(1+),CK5/6(+),D2-40(未见癌栓),EGFR(+)、Ki-67(index≈50%),P53(-),P63(+)。
根据患者术后病检,患者达到临床治愈,无需放化疗,只需定期复查,真正做到了早发现、早治疗。
“九阴白骨抓”之食管巨大粘膜下肿物
患者,男,58岁,主因“间断进食不畅1月”,就诊于我消化内三科。我院电子胃镜提示:食管下段近贲门处可见巨大隆起性病灶,超声内镜提示:病变起源于固有肌层,最大切面大小约4cmx1.3cm,呈低回声。考虑平滑肌瘤。积极完善相关化验及检查,查无内镜下治疗禁忌症,遂于2023年5月30日行内镜下食管肿物挖出术。






术后病检提示:(食管下段)平滑肌瘤,肿瘤大小5x2.3x2cm;
免疫组化结果显示:CD117(-),CD34(部分细胞+),Desmin(+),DOG1(-),Ki-67(阳性率≈1%),S-100(-),SDHB(-),SMA(+)。
内镜下的“爪子”让粘膜下巨大肿物不再继续作怪!
”鱼跃于源“之胰腺占位不明确?超声穿刺来诊断!癌中之王只能作以代毙?重离子带来新希望?
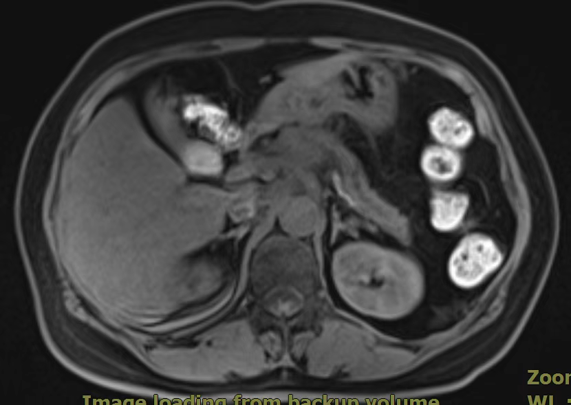
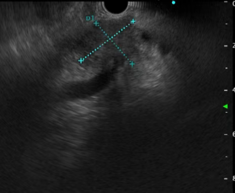
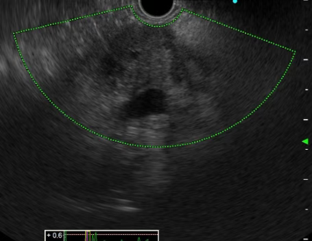
患者,女,60岁,主因“间断后背部胀痛1月。”2022-02-21就诊中国人民解放军中部战区总医院行腹部CT示:胰腺颈体部占位性病变并胰腺体尾部萎缩、胰管扩张,局部增大淋巴结,考虑胰腺癌可能;CA199 >1000U/ml;腹部核磁示:胰颈部占位性病变,考虑恶性肿瘤,胰腺Ca可能大,腹腔干、脾动脉、肝总动脉局部包绕其中,与门静脉边界欠清,胰体尾部萎缩、胰管扩张;胰头周围数枚淋巴结显示,部分增大,考虑转移。为进一步明确诊断,我院消化内三科为患者行超声胃镜检查及穿刺示:于胰颈部可见一2.5×3.0cm大小不规则低回声占位,肠系膜上静脉穿入其中,弹性成像提示:病变部分 略偏硬。胰腺体尾部胰管扩张,最宽处约3mm。超声穿刺病检结果示:(胰体占位穿刺组织)腺癌。在明确诊断前提下,碳离子治疗+化疗治疗;让“癌中之王”不再坐以待毙。




巨大胆管结石克星之---Spyglass
ERCP是内镜微创治疗技术的典范代表。近年spyglass的出现是一个亮点,其可在直视下进行胆胰管内活检甚至碎石治疗,突破了原内镜治疗的盲区,ERCP又焕发了新的可能。今年,我院率先引进了河西地区第一台(胆道镜)spyglass 为当地区胆管结石患者带来了福音。患者宋某于入院数3年前因腹痛就诊当地医院完善相关检查诊断胆管结石伴有胆管炎,因患者胆管多发并且结石大于1.0cm,ERCP球囊及网篮取石困难而无法取出,后多次就诊我科行ERCP及胆管支架置入。2023年3月该患者再次并发胆管炎而就诊我科。十二指肠乳头处可见支架一枚,切开型乳头,拔除支架。插管成功后,造影示胆总管扩张,其内见数个充盈缺损影,最大约1.2x1.0cm大小。Spy-Glsss见胆总管褐色结石,碎石后,引入直径1.4cm扩张球囊扩张乳头口,扩张成功后以取石球囊分次取出数块褐色结石数枚,另分次取出大量泥沙样结石,过程顺利。




武威医科院消化内科简介
消化内科是甘肃省重点学科、国家重大公共卫生服务项目农村癌症早诊早治项目上消化道癌早诊早治项目示范基地、国家卫生部内镜专业技术消化科培训基地、甘肃省胃肠病重点实验室、中国幽门螺杆菌分子医学中心武威分中心、西京生物样本库武威分库等。
消化内科拥有甘肃省卫生系统领军人才、武威市领军人才、武威医科院肿瘤医院消化内科创始人、胃镜中心主任张志镒主任医师、院长助理聂蓬主任医师(医学硕士)、卢林芝主任医师、张文鸿主任医师(医学硕士)、赵光源副主任医师(医学硕士)、李世华副主任医师、刘金殿副主任医师(医学硕士)、谢春芳副主任医师等一大批高级职称专家领衔的专业团队。

消化内科装配了国产首台四臂手术机器人,甘肃省第四台、全省地州市医院第一台PET-CT,动态500排宝石能谱CT,Optima670 64排128层螺旋CT等各类设备300余台;STORZ·HD全高清腹腔镜、高清3D胸腔镜、高清3D荧光腹腔镜等各类腔镜10余台;奥林巴斯NBI放大内镜,超声内镜等内镜30余台。
消化科新风采




高新医疗设备




重离子院区风采





消化内三科简介
消化内三科共有医师7人,护士9人,其中副主任医师2人,主治医师1人,住院医师4人,主管护师2人,护师3人,护士4人。开放床位48张。

科室现开展胃食管反流病、胃炎、消化性溃疡、消化道出血、功能性胃肠、炎症性肠病病等消化科常见病、多发病等疾病的诊治。同时更加擅长治疗食管癌、胃癌、胰腺癌、肝癌、胆管癌、大肠癌等消化道恶性肿瘤,尤其是早期消化道癌。目前科室已成功开展:消化道良恶性狭窄扩张及支架置入治疗,食管扩张及支架置入术,内镜下食管气管/纵膈瘘修补术,食管、胃底静脉曲张硬化/套扎治疗,胃造瘘术,胃、结肠息肉内镜下治疗、消化道早癌内镜下治疗(EMR、ESD),内镜下食管、胃底静脉曲张硬化、套扎术,内镜下经粘膜下隧道肿瘤切除术(STER),经口内镜下食管括约肌切开术(POEM),经口内镜下幽门括约肌切开术(G-POEM),内镜逆行胰胆管造影(ERCP)、胆胰系统疾病超声穿刺及治疗等内镜下治疗技术。还包括胃癌、食道癌、肝癌、结肠癌、直肠癌、胆囊癌等恶性肿瘤及淋巴瘤的诊断、新辅助化疗、术后辅助化疗、中晚期肿瘤的根治性化疗和晚期转移性肿瘤的综合治疗、生物免疫治疗、内分泌治疗、热灌注治疗、局部药物注射治疗。以及小肠镜检查及内镜下治疗,胶囊内镜检查等项目。
联系我们
咨询专线:0935-6989305
医院地址:甘肃省武威医学科学院肿瘤医院重离子院区3号楼三楼