乳腺癌大分割放疗为患者带来福音
乳腺癌大分割放疗为患者带来福音
近年来,全球乳腺癌发病率不断升高,乳腺癌保乳术后放疗可以显著降低局部复发风险,延长生存。传统常规放疗疗程达6-7周,即每次2.0Gy,每周放疗5次,总剂量50Gy,序贯照射剂量:10-16Gy/2Gy/5~8f。需要30次(6-7周)的照射才能完成。长疗程不仅给患者带来恐惧心理负担,同时也增加了患者的经济负担。
为了缩短治疗时间,节约医疗资源,近年来国内、国际上采用大分割辅助放疗技术越来越多。


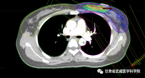
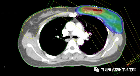
SIB-VMAT放疗计划
与传统的放疗技术相比,大分割放疗是指单次照射剂量2.6-3.2Gy,照射次数13-15次(3周内),总剂量39.0-43.5Gy,时间缩短了一半,且治疗费用减少了近1/3。

先进的放疗设备
我院放疗五科胡廷朝副主任医师近几年开展了保乳术后的大分割放疗,目前已治疗病例20余例,瘤床给予39.5Gy,全乳43.5Gy采用VMAT同步推量技术,将之前的30次放疗时间缩短到15次,3周完成治疗,减少住院时间,几乎无严重并发症的发生,提高了患者术后放疗的依从性,节省了患者的治疗费用,受到了广大患者的好评及认可。此项技术的开展,为广大乳腺癌患者节省了治疗费用,带来了实惠,随着大分割放疗技术应用范围进一步得到拓展,未来预计越来越多的患者会从大分割全乳放疗中获益。使放射治疗进入一个更为“轻松”的时代。
联系我们
咨询电话:李小军副主任医师(13150160200)
胡廷朝副主任医师 (15339404716)
就医地址:甘肃省武威市天颐路甘肃省武威肿瘤医院重离子院区