宫颈肌瘤,无须谈“瘤”色变
宫颈肌瘤,无须谈“瘤”色变
很多女性朋友的体检报告中经常会出现“子宫肌瘤”的字样,这让女性朋友们万分担忧,听着名字里有“瘤”字,就开始发愁,特别是看到报告中描述的肌瘤体积巨大,就更乱了阵脚。2023年7月5日我院妇科接诊了一位患者---王女士,36岁,患者是在3年前体检时发现的子宫肌瘤,约5cm大小,确切的说是宫颈肌瘤;这种“瘤子“位置特殊,长到一定程度很容易压迫周围组织器官,引起排便困难,尿潴留,输尿管扩张甚至肾积水。患者肌瘤单发,当时无任何不适症状,先后辗转于多家医院诊治,均建议手术治疗,因患者对手术治疗子宫不能保留的风险不能接受,遂选择观察。3年间肌瘤悄无声息的发展,近1月患者自感下腹坠胀,经期明显,伴阴道分泌物明显增多。就诊我院查盆腔彩超提示宫颈肌瘤已增大至12cm。妇科检查:因压迫宫颈偏向腹侧,阴道穹隆饱满,外凸。宫颈膨大如儿头大小,固定于盆底,活动欠佳。子宫体触诊不清。此时手术难度倍增,而且患者有生育需求, 既要解除患者病痛,又要尽可能保留患者的子宫及生育能力,因宫颈肌瘤太大,这可给了我们不小压力!王睿梅主任带领大家通过全面、详细、反复的查体,并结合盆腔核磁、超声等影像学评估,反复商议后大家一致认为可以尝试保留子宫,行宫颈肌瘤剔除术,并且邀请省上专家协助尝试微创手术治疗,很荣幸我们请到了甘肃省妇幼保健院中心医院妇科的栾桦主任,专家细致的了解病情后同意与我们合作。
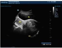
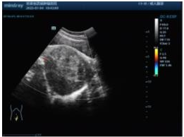
手术前我们再次确认患者的HPV检测阴性;宫颈TCT涂片:无上皮内病变或恶性病变(NILM)。血常规、肝功能、肾功能、心功能、肺功能等均无明显异常。B超、核磁共振检查(如下图)。


2023-7 经阴道彩超

2023-7-5盆腔核磁(矢状位)

2023-7-5盆腔核磁(冠状位)
2022年7月8日栾桦主任带领我院王睿梅主任的妇科团队,在肚子上打了4个小孔,花了将近5小时的时间,用腹腔镜成功完成了王女士的肌瘤剔除手术,术中确认为宫颈中央型肌瘤,瘤体包围宫颈前壁、后壁及右侧壁,大小约11*10*10cm,术中边剔除边止血,尽可能的减少出血,因瘤体太大,压迫到右侧输尿管,为避免和预防术后输尿管瘘的发生,我们特意邀请泌尿外科协助放置了双侧输尿管J型导管。术后患者无任何手术并发症,术后病理提示子宫颈平滑肌瘤,术后8天王女士康复出院。

子宫颈肌瘤是子宫肌瘤的特殊类型,发生率约占子宫肌瘤的2.4-7.0%,宫颈肌瘤生长部位低,紧靠周围血管、输尿管及其他盆腔脏器,使周围脏器移位,扰乱正常解剖,增加手术难度和并发症的发生率。
所以,提醒广大女性朋友,如果体检发现子宫肌瘤,尤其是宫颈肌瘤,并出现明显不适症状,合并不孕,或肌瘤较大(>4-5cm),生长迅速,怀疑恶变时应该尽早选择手术,以减少疾病本身对机体的伤害,并且可降低手术相关的并发症。
妇科简介

武威肿瘤医院妇科为武威市重点学科,成立近30年,2022年4月因业务发展需要分为妇科和妇瘤科,妇科有主任医师1名,副主任医师2名,住院医师3名。开展妇科良恶性肿瘤,HPV感染与宫颈癌前病变,子宫脱垂、尿失禁等盆底疾病的规范化诊治,开展更年期综合症、不育不育、闭经、月经紊乱等内分泌疾病的规范化诊治。常规开展腹腔镜、宫腔镜、阴道镜等微创技术,微创手术率达85%以上。熟练开展子宫颈癌、卵巢癌、子宫内膜癌、子宫肉瘤、外阴癌、阴道癌、原发性腹膜癌、滋养细胞肿瘤、子宫肌瘤、子宫腺肌病、卵巢囊肿等良恶性肿瘤的根治性手术治疗及恶性肿瘤的化疗和免疫靶向治疗,熟练开展腹腔镜下子宫内膜癌根治术、子宫切除术、子宫肌瘤剔除术、卵巢囊肿剥除术、宫外孕病灶切除术等微创手术治疗。熟练开展子宫脱垂、膀胱脱垂的手术治疗。能熟练开展宫腔镜下子宫内膜息肉及粘膜下肌瘤切除术,阴道镜下宫颈活检术。我科成立了宫颈癌防治中心,常规开展宫颈癌筛查、高危HPV感染的治疗及癌前期病变的激光治疗宫颈锥切术+宫颈成形术(LEEP刀锥切及冷到锥切)。

学科带头人王睿梅副主任医师
大学本科学历,从事妇科及妇科肿瘤临床工作20余年,具有丰富的临床经验。2008年在兰州大学第一医院妇产科进修学习1年,2013年在甘肃省人民医院妇科内镜中心学习微创技术半年,2016年在北京中科院肿瘤医院妇科肿瘤中心师从著名的肿瘤专家吴令英教授学习1年。2023年在甘肃省妇幼保健院宫颈癌防治中心系统学习。主持完成科技项目3项,参于完成科技项目2项,在国家级、省级刊物发表论文10篇。现任武威市医学会肿瘤专业委员会委员、武威市医学会妇产科分会委员会委员、西部肿瘤专科联盟理事。
专业特长:擅长妇科良恶性肿瘤、宫颈癌前病变、盆底病变(子宫脱垂、尿失禁等疾病)、内分泌疾病(闭经、月经紊乱、多囊卵巢综合症等疾病)

技术指导主任曹慧莲主任医师
大学本科学历,系武威著名的妇产科专家,1988年毕业于兰州医学院医疗系,曾历任武威市人民医院妇产科主任,上海海华医院妇科主任,西安存济妇产医院妇产科主任,现任武威肿瘤医院妇科技术指导主任。任武威市医学会妇产科专业委员会名誉主任委员,武威市医学会妇科肿瘤专业委员会名誉主委;中国优生优育协会妇产科专业委员会全国委员。
专业特长:擅长更年期综合征 ,多囊卵巢综合征、不孕不育,闭经、月经紊乱等内分泌疾病,子宫脱垂、尿失禁等盆底疾病,妇科良恶性肿瘤、生殖器官发育异常及妇科炎性疾病。

技术骨干许秀梅副主任医师
大学本科学历,从事妇产科临床工作10余年,具有丰富的临床经验。2011年在兰州大学第一医院妇产科进修学习半年,2017年在浙江省肿瘤医院妇科肿瘤中心学习半年,完成科技项目1项,发表论文4篇。现任武威市医学会肿瘤专业委员会委员。
专业特长:擅长各类妇产科常见病多发病的诊治,擅长妇科良恶性肿瘤的规范化诊治及恶性肿瘤的化疗及免疫靶向治疗。
妇科全体医务人员精诚团结,以患者为中心,疾病为导向,开拓进取,竭诚为广大患者服务。此外我科与甘肃省妇幼保健院、浙江省肿瘤医院妇科常年合作开展业务。
妇科特色技术
1.腹腔镜下子宫内膜癌根治术:子宫内膜癌是妇科三大恶性肿瘤之一,手术是子宫内膜癌的主要治疗手段,腹腔镜手术由于其创伤小、恢复快,术后并发症发生率低等优点,目前越来越受到人们的青睐。目前我科常规开展腹腔镜下子宫内膜癌根治术,较开腹手术术中血管裸化的更好,视野更清楚,出血少。术中坚持无瘤原则,采用子宫悬吊术和自制的堵头举宫,未使用举宫杯,避免了举宫可能导致的肿瘤播散。
2.宫颈癌前期病变的宫颈冷刀锥形切除术+宫颈多点活检术+颈管搔刮术+宫颈成形术:宫颈病变,尤其是高级别上皮内瘤变,由于患者保留子宫及诊治彻底性的需要,目前多采用宫颈冷刀锥形切除术。我科学科带头人王睿梅主任于2016年在北京中科院肿瘤医院妇科肿瘤中心学习后,将此项技术带回并广泛应用于临床。其具有保留了宫颈的功能,外观美观,且治疗彻底的优点。
3.子宫脱垂修复术:女性患者因分娩及先天性等因素,出现子宫脱垂或阴道壁脱垂,造成下腹及腰骶部坠胀感,溢尿甚至尿潴留等症状,影响患者的生活质量。我科常规开展盆底修复手术,解决患者生活不便。
4.高危HPV感染与宫颈癌前病变诊疗中心:目前社会上高危HPV感染人群数量庞大,市场上有各种治疗方法,但疗效欠佳。我中心常规开展宫颈癌筛查----高危HPV感染及宫颈上皮内瘤变规范化治疗----宫颈癌手术+放化疗等综合治疗,疗效显著,赢得患者的一致好评。


扫码关注