原发性或继发性气管肿瘤的重离子治疗总结
原发性或继发性气管肿瘤的重离子治疗总结
气管肿瘤——无论是原发于气管的鳞癌、腺样囊性癌,还是继发于其他恶性肿瘤的气管侵犯——重离子治疗都展现出了独特的优势和可靠的疗效。现将我中心近年来的治疗经验和数据总结如下,供各位同道和患者参考。
一、为什么气管肿瘤需要重离子?
气管是呼吸的“生命线”。肿瘤长在这里,哪怕2-3厘米,也可能导致严重呼吸困难、咯血、甚至窒息。传统治疗手段各有明显短板:

重离子的“布拉格峰”和“高相对生物效应”,正好解决了上述难题——精准打击肿瘤,保护正常组织,且对常规放疗不敏感的肿瘤同样高效。
二、我中心真实病例数据(原发或继发性气管肿瘤)以下为部分代表性病例
(数据来源:本中心病历系统,截至2026年4月):
三、重离子治疗气管肿瘤的四大核心优势
1. 见效快,迅速解除呼吸困难
杨爷爷治疗3次后脱离无创呼吸机,8次后脱离鼻导管吸氧。对于肿瘤引起的气道梗阻,重离子往往在治疗早期(1-2周内)就能看到肿瘤退缩。
2. 无创、无出血风险
支气管镜下活检都可能大出血,但重离子是无创照射,完全避免了操作相关的大出血、窒息风险。即使像杨爷爷这样无法取病理的患者,也可以先治疗、后诊断。
3. 对放疗不敏感肿瘤同样高效
鳞癌、腺样囊性癌对常规放疗相对抗拒,但重离子的高相对生物效应(RBE)能直接打断肿瘤细胞双链DNA,损伤不可修复。
4. 高龄、体弱患者同样耐受
我中心治疗的气管肿瘤患者最大年龄82岁,合并呼吸衰竭、心肺功能差,均顺利完成治疗。年龄不是禁忌,身体状况稳定即可。
四、我们团队的治疗策略
1.紧急评估,争分夺秒
对于严重气道梗阻患者,入院后立即完成定位、勾画靶区、制作计划,力争48-72小时内上机。当活检风险极高时,可依据典型影像学表现先行重离子治疗,同时送检痰液脱落细胞,待肿瘤缩小后再行支气管镜取病理。
2.ICU全程护航
治疗初期患者可能仍依赖呼吸机,我中心ICU团队24小时待命,确保治疗安全。
3.追求根治与安全并重
治疗后密切随访,关注气管穿孔、瘢痕性狭窄、复发转移等远期问题,结合NCCN指南制定综合治疗方案。
五、哪些气管肿瘤患者适合重离子?
- 原发性气管恶性肿瘤(鳞癌、腺样囊性癌、类癌、肉瘤等)
- 继发性气管/主支气管侵犯(食管癌、肺癌、胸腺癌、甲状腺癌等直接侵犯)
- 无法手术或拒绝手术者
- 常规放疗不敏感或失败者
- 高龄、心肺功能差、无法耐受创伤性治疗者
- 需要快速缓解气道梗阻者
禁忌证:已完全窒息、无法平卧、严重凝血功能障碍(但重离子本身无创,相对禁忌少)。
典型病例:一例复杂气管主支气管癌的重离子治疗
突然发现大气管内严重肿瘤
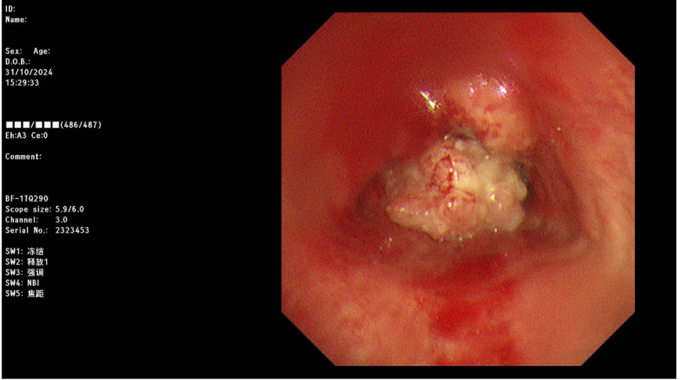
患者杨某,男,82岁,四川省成都市人,出现胸闷、气短2周。2024-10-21患者突发胸闷、气短加重,伴痰中带血,CT检查提示气管隆突区见软组织结节影,形态欠规则,较大截面约2.6cmx2.7cm,邻近气管壁稍增厚,局部管腔变窄。华西医院行支气管镜检查:气管下段隆突处菜花样新生物阻塞致气管下段左侧壁、右侧壁线性狭窄;支气管镜无法继续观察双侧各级支气管结构,镜下活检出血风险较大。华西医院的医生认为患者年纪大,取病检困难,肿瘤已引起严重的呼吸困难,各种治疗方法都无法进行,只建议可以放个支气管支架。


绝望之际,患者的家属中有人来过武威重离子,第一时间想到了重离子,询问张雁山,能不能重离子治疗,张雁山教授的答案是很明确的,效果会非常好,只是路途遥远,旅途中安全难以保障,只要能平安的送到武威,就有办法。家属说明白了,她要和家里人商量一下,过四五天过来找我。
连夜千里奔赴
患者病情罕见且危重,华西医院的医生建议放个气管支架,如果放支气架,可以解决一时的呼吸困难,但气管支架本身不治疗肿瘤,且容易引起出血和生活质量下降,重离子可以很快让肿瘤消退。可是病人远在千里之外,要过来风险也很大!然而几个小时后,家属就告诉张雁山,患者本人和家里人决心都很大,都想争取,决心立马开车赶过来,十几个小时的里程,车上备好了氧气,要争取。
接到这份沉甸甸的信任,张雁山和团队决定全面行动起来,患者大约在夜间凌晨一点赶到武威重离子康养中心,ICU团队全力以赴,只要车能到中心,老人的生命就有有安全保障,强大的ICU团队、呼吸机、ECMO等各类现代医疗设备立即准备就绪。

安全抵达
一路的险情,终于在凌晨4点安全抵达,ICU团队已在等待,有条不紊的处理,无创呼吸机辅助,缺氧的情况改善,险情解除,谢天谢地。
紧急启动会诊,争分夺秒上重离子
患者影像诊断比较明确,但没有病理诊断,国内顶尖医院华西医院认为太危险了,支气管镜下取检容易引起大出血,不能取检,我们紧急启动多学科会诊,制定以下诊疗计划:多头并进,一是立即尽快重离子治疗;二是连续将咳出的痰液送脱落细胞检测,按我们的经验,重离子对于恶性肿瘤,消退的会很快,约治疗三次重离子后,肿瘤会退缩,呼吸困难会解险,出血风险大大下降,这样我们就可以安全的做支气管镜和取病检了,虽然重离子治疗会影像到肿瘤细胞的形态,但还是可以完成诊断的。三是我院ICU做好前面几天危险阶段的保驾护航。
入院当天顺利完成重离子治的摆位定位
在ICU团队的协助下,患者带着无创呼吸机,生命体征能保持平稳,顺利完成摆位定位,紧急勾画靶区,计划制作,剂量验证,复位,一切有条不紊,入院第三天,10月26日完成第一次重离子治疗,患者感觉良好,气短有所缓解,但仍需呼吸机辅助,10月28日第三次治疗后,脱离了无创呼吸机。老爷子精神很好了,幽默地说他又可以打麻将了,好久没有打麻将了。

治疗前20241121增强CT片(红圈内为气管肿瘤)
终于安全了
危险解除,我们安排了无痛支气管镜,就诊于我院进一步治疗。仅仅三次小剂量重离子治疗,肿瘤明显缩小了,出血迹象也明显好转,成功取病理检测,证实是鳞状细胞癌。诊断气管恶性肿瘤,鳞状细胞癌。


仅仅三次小剂量重离子治疗,肿瘤缩小了,出血迹象明显好转,成功取病理检测,证实是鳞状细胞癌
继续治疗,争取达到根治
气管肿瘤有其罕见性和难治性,经常看到一些知名医院切除了气管分叉部位的肿瘤而报道的,但这样复杂的气管肿瘤,我们还要我们选择继续积极治疗,追求根治与安全并重。,既要保住胜利的果实,我们还要追求根治性和安全性,防止后期气管穿孔、气管瘢痕形成、肿瘤复发转移等一系列难题。这时候我们再次发挥我们团队的优势,检索获取了世界上最新了资料。
我们熟练英语的听说读写,并用英语会诊及交流查房,我们每天都要学习国际上的最新的癌症治疗指南等(NCCN指南,美国国立综合癌症网络National Comprehensive Cancer Network 的缩写),从而保证每一例癌症患者的综合治疗都是与世界范围内最先进的国际癌症治疗指南同步,用最新的肿瘤治疗指南加上国之重器重离子,使我们成为癌症治疗领域的引领者。
杨爷要出院了,一切都很圆满,杨爷问我们,我怎么感谢你们,张雁山当面回答:“杨爷,把您的故事讲给更多的人,让大家了解中国人自已的重离子,您给我们介绍十人需要重离子治疗的病人,让我们帮助更多的人,将爱传下去!”杨爷说“这个容易的很。”
杨爷要出院了,医护人员都开心的很,杨爷的子女们也洋溢着喜悦!

撰稿人:张雁山(甘肃省武威肿瘤医院副院长)
数据提供者:陈雪莲、李鹏庆(肿瘤登记随访办)
时间:2026年4月28日