怎样做全面的早期癌症筛查?
怎样做全面的早期癌症筛查?
怎样做全面的早期癌症筛查???
早期癌症筛查可以选择PET-CT。
PET可通过病灶的异常功能代谢情况来判断疾病,但不能提供某些病灶的准确解剖位置,也就是说:我知道有这个病,但未必知道病灶在哪里。CT 可以准确描述病变的形态、大小、和位置。但是只有当疾病发展到“形态改变”这一阶段才能被发现 ,不能达到“早期诊断”的目的。也就是说:我知道病灶在哪里,但往往是已经晚了一步。

正所谓强强联合,PET-CT便应运而生了,它综合“爹妈”的精华,在早期诊断肿瘤方面发挥了巨大作用。能够提早诊断并治疗,才可以把癌症扼杀在摇篮里。在精准医学的时代,疾病的诊治不仅要依赖组织形态和病理学基础,而开始更多地深入到分子水平。而PET-CT就是这一方面的强者。它的精准性可以发现尚且处于微小状态的肿瘤,更可以深入分子水平,反映病变组织代谢及功能状态,是精准医学时代不可或缺的工具。

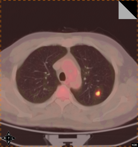
早期体检发现肿瘤

甘肃省武威医学科学院肿瘤医院PET-CT中心引进了美国GEDiscovery 710Clarity超级迭代PET-CT、是国内最先进的256环LBS晶体PET/128层螺旋CT。该设备是甘肃省第四台、全省地州市医院唯一一台PET-CT,是美国GE公司推出的引领当今世界潮流的超级迭代设备,较普通PET/CT具有更高的灵敏性和特异性。其独有的1.8mm的高空间分辨率,可以极大程度地提高对微小病变的探测能力,同时大大缩短全身扫描的检查时间,降低检查者受辐射剂量,并可以得到理想的诊断结果,被誉为现代医学高科技之冠。中心拥有一流的放药室,同时配备能生产不同种疾病诊断所需的多种11C、13N、18F专用示踪剂的医用回旋加速器系统,所生产的药物纯度高于国家标准,达到世界一流水平,为广大患者获得精确诊断保驾护航,我院PET-CT中心也成为甘肃省唯一同时开展11C、18F显像的PET-CT中心。