我院心内科上演“生死时速 极速救心”,成功救治心梗突发患者
我院心内科上演“生死时速 极速救心”,成功救治心梗突发患者
很多时候
我们抢救的
不只是一条生命
那是一个家庭
大爷突发心梗,2次除颤,险象环生,次次致命!甘肃省武威医学科学院肿瘤医院心内科医护人员及时诊断、全力抢救,成功守护了一个圆满的家庭。
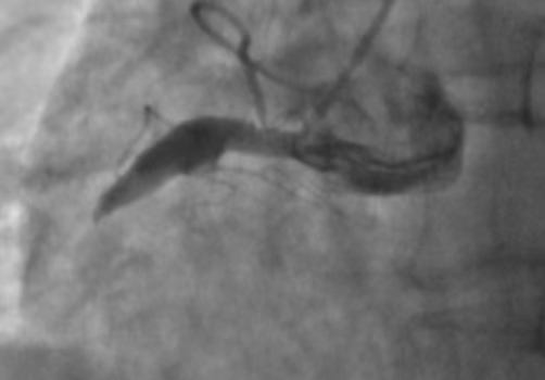
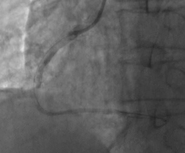
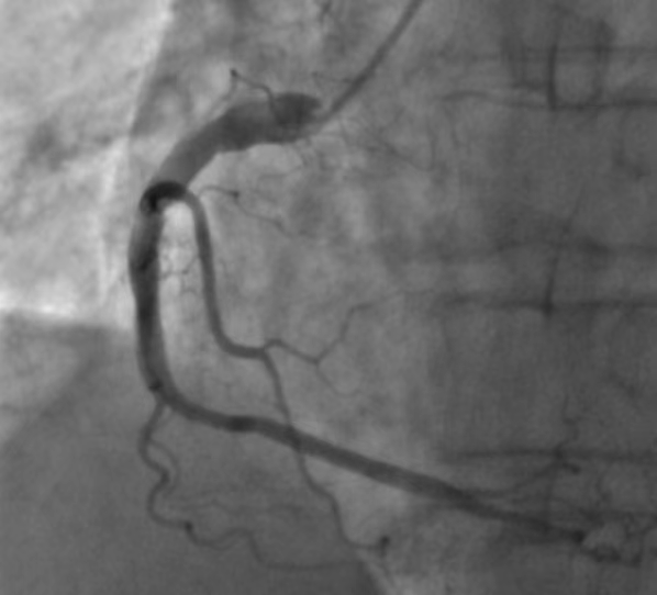
2023年09月14日下午4时35分,69岁的张大爷打牌中突然胸部闷痛,出大汗,就像是全身被浇了一盆凉水一样,非常难受。他电话联系家属乘车送我院胸痛中心。16:58到达医院大门,17:03查心电图示:窦性心律,Ⅱ、Ⅲ、AVF、V3R、V4R、V5R、V1-V4导联ST段抬高,T波高尖置。考虑急性ST段抬高型右室心肌梗死。立即给予心梗急救药物嚼服,吸氧、心电监护、建立静脉通道等紧急抢救措施。张大爷突然意识丧失,呼之不应,心电监护示室颤波形,先后进行2次紧急除颤。安得英医师团队迅速确定手术方案,建议马上进行“经皮右侧桡动脉穿刺下冠状动脉造影术+冠脉介入治疗”。随之迅速转运病人至介入导管室,冠状动脉造影提示严重冠脉闭塞病变,右冠第1段100%闭塞病变(图1),伴高负荷血栓影,高生云医师团队随即右冠内血栓抽吸术、溶栓术,打通闭塞血管(图2)。及时开通冠脉血流,为濒死的心肌重新供血(图3、图4)。从患者入门到开通血管仅用了47分钟。

图1 右冠近端急性闭塞

图2 冠脉内抽吸出来的血栓

图3 术后血流恢复正常

图4 术后一周后复查血流完全恢复正常
术后张大爷转CCU继续监护治疗,心内科医师团队会诊后考虑血栓负荷较重,制定了详尽、科学、精准的诊疗方案,为下一步的治疗提供了指导意见。经过心内科医护人员的精心治疗,张大爷生命体征平稳,各项监测指标趋于平稳,于09月22日复查冠脉造影示右冠血栓消失,第1段局部轻度扩张,前向血流恢复TIMI 3级。择日张大爷顺利出院。
该患者的成功救治,是甘肃省武威医学科学院肿瘤医院心内科团队紧密协助的结果,既体现了心内科的技术水平,也体现了抢救急危重症患者的能力经得起实战考验。

武威医学科学院肿瘤医院心脏血管病专科
●武威市重点学科,正在创建省级重点学科、国家级胸痛中心。
●现有安得英、黄振东、高生云等40余名心血管病专家。
●拥有动态500排宝石能谱CT、美国GEIQ2100心血管造影系统、美国HP-M1722A心脏除颤起搏监护仪等高精尖设备。
●开展有经桡动脉穿刺冠状动脉造影、室间隔主动式螺旋电极起搏术、不稳定心绞痛、急性心梗冠脉造影及心脏支架植入术等技术。


联系我们
胸痛专线:19393537120
咨询电话:6986120、6986105
就医地址:武威医学科学院肿瘤医院南院区心脏血管病专科门诊一楼(新西凉市场北口)