
甘肃省武威肿瘤医院武威重离子中心放疗六科
(胰腺癌重离子专科 腹盆部肿瘤重离子治疗科)
一、 科室概览与定位
放疗六科为胰腺癌重离子治疗专科、腹盆部肿瘤重离子治疗科,主攻胰腺癌重离子治疗,以及肝癌、结直肠癌、前列腺癌等腹盆部肿瘤的重离子及光子放疗。自开诊以来,国内各地胰腺癌患者慕名而来,能使患者在无痛苦、不开刀、无损伤的情况下,精准的杀灭胰腺癌细胞。解决了胰腺癌作为难治性肿瘤的癌中之王,“手术难做、容易复发、普通放疗不明感、预后不佳”的核心棘手问题。先后治疗来自全国各地胰腺癌患者数百例,1年局部控制率高达90%以上,中位生存时间从传统的11个月提高到19个月,疗效确切,患者治疗体验好,治疗疗效得到国内外知名专家及广大患者的充分好评。

二、 人才团队与学科梯队
科室现有工作人员13人,其中医师6人(副主任医师1人,主治医师2人,住院医师3人),护士7人(主管护师2人,护师1人,护士4人),是一支知识储备丰厚,富有朝气活力的专业技术队伍。在人才队伍建设方面,科室注重中青年医师培养,培养及引进研究生4名,科室成员先后在新加坡国立医院、上海质子重离子医院、北大三院、四川省肿瘤医院等国内外知名肿瘤中心学习,具有丰富的重离子治疗经验,能够为患者制定科学合理的治疗方案,提供专业化、人性化的精准服务。

科室长期聘请多位国际知名专家担任顾问,包括德国慕尼黑质子重离子中心Jorg Hauffe教授、“世界重离子治疗先驱”辻井博彦教授、中国台湾放射治疗权威任益民教授与吴嘉明教授,长期参与临床查房、会诊与疑难病例讨论;同时聘请河南省放射治疗主委樊锐太教授作为指导专家,助力科室学科建设与质量提升。科室迄今已获得省级科技进步奖1项,市級科技一等奖1项、二等奖2项,发表学术论文30余篇,展现出强劲的临床科研实力。

科室带头人陈威佐,副主任医师、肿瘤学硕士研究生,放疗科党支部副书记,甘肃省“陇原青年英才”。中国核学会近距离治疗与智慧放疗分会理事;中国医学装备协会离子放射治疗分会委员;全国卫生产业企业管理协会肿瘤分会委员;西部放射治疗协会青年分会委员;CRTOG放射免疫IR青委会委员;甘肃省抗癌协会胃癌/大肠癌专业委员会青年委员会委员;武威市医学会放射治疗专业委员会委员;主持中国科学院“西部之光”人才培养计划项目1项;甘肃省省委组组部“陇原青年创新创业”人才项目2项。项目荣获“甘肃省科技进步奖”三等奖。发表SCI论文11篇,中文核心期刊论文5篇。国家发明专利2项,实用新型专利3项。发明专利荣获“全国发明展览会”金奖,国家“发明创业奖”项目奖二等奖。作为团队的核心人物,不仅拥有丰富的临床经验,还具备扎实的学术背景,先后在上海质子重离子医院、北京大学第三医院、四川省肿瘤医院等中心研学。擅长腹部肿瘤的放疗及综合治疗,尤其对放疗新技术,如重离子、立体定向放疗有丰富的经验。
三、 诊疗范围与技术特色
科室以胰腺癌重离子治疗为主、同时开展肝癌、胆管癌、结直肠癌、胃癌、肾癌、前列腺癌、膀胱癌等腹盆部肿瘤的重离子及光子治疗,可为患者提供专业的放射治疗与个性化肿瘤综合治疗服务。
作为国内肿瘤精准放疗领域的标杆科室,放疗六科聚焦国际前沿治疗手段,构建了以重离子治疗为特色、多模态精准放疗技术协同发展的综合技术体系,为难治性肿瘤及复杂病例提供个性化、高效能的解决方案。科室全面开展多项国际主流放射治疗技术,包括重离子放疗、空间分割放疗(Lattice Radiotherapy)、立体定向放射外科(SRS)和立体定向体部放疗(SABR/SBRT)、旋转调强放疗(VMAT)与静态调强放疗(IMRT)、图像引导放疗(IGRT)、三维适形放疗(3D-CRT)、三维后装放疗、深部热疗及体外热疗。科室强调“综合治疗、个体施策”的理念,将放射治疗与手术、免疫治疗、靶向药物、化学治疗及中医药治疗有机结合,为患者制定规范化、全病程管理的治疗方案。自2024年1月分科以来,科室已完成重离子治疗数百例,累计收治各类肿瘤患者超过1500例,疗效显著,得到患者与家属的广泛认可。
科室特色技术:
1、重离子放射治疗:
重离子治疗具备“精准杀伤+高效抗癌”的双重核心优势,其特点主要体现在三方面:一是生物学效应高(RBE值高),能精准破坏肿瘤细胞DNA双链,对传统放疗不敏感的难治性肿瘤(如胰腺癌、胆管癌、肉瘤等)杀伤效果更显著;二是剂量分布精准,借助“布拉格峰”物理特性,可将高剂量集中在肿瘤病灶,最大限度减少周围正常组织(如血管、内脏)的辐射损伤;三是治疗周期短,相较于传统光子放疗,碳离子治疗单次剂量更高,总治疗次数更少(通常治疗时间为十几天左右),能大幅缩短患者治疗周期,降低治疗期间的身体负担。
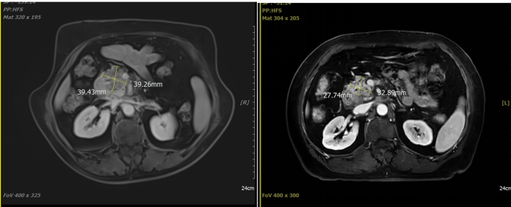
1)、病例展示一:胰体恶性肿瘤
胰体部恶性肿瘤(5.1*4.1cm),病灶包绕门静脉主干、腹腔干、肠系膜上动脉,腹腔干受压变窄,致门静脉、脾静脉闭塞伴侧枝循环形成,伴门静脉左侧、腹膜后淋巴结转移。病理诊断(病理E2025-00115):腺癌。治疗方案:碳离子放疗(2025-06-12)总剂量:PTV:55.2Gy(RBE)/12Fx。同步化疗:吉西他滨单药,第1、8、15天 Q4W。
影像学对比

2025-05-30 2025-10-16
病例展示二:胰头恶性肿瘤
胰头部代谢增高灶,符合胰腺癌表现;伴腹主动脉周围淋巴结转移。侵犯门静脉及肠系膜上静脉,伴胰管及胆总管扩张。病理诊断:腺癌。cT3N1M1 Ⅳ期,KPS评分:80分。治疗方案:碳离子放疗:总剂量58.5Gy(RBE)/14Fx。同步化疗:吉西他滨+白蛋白紫杉醇。
影像学对比

治疗前(2025-3-5) 治疗结束后复查(2025-4-10)
2)、重离子特色创新治疗技术:腹盆腔肿瘤瘤体与危及器官间手术置入隔离物的重离子放疗技术
重离子放疗是全球公认的尖端肿瘤放射治疗技术,尤其适用于外科手术、常规化疗及传统放疗无效或易复发的难治性肿瘤。临床实践中,重离子治疗因其具有独特的物理和生物学效应,能有效的杀灭各类肿瘤,但对于肿瘤和正常组织界限不清者,因担心正常组织的损伤,难以达到根治的治疗目的。
针对这部分难治性肿瘤,我科创新了整体解决方案,第一程给于基础治疗剂量,第二程通过手术放置隔离沙垫于瘤体与危及器官之间,当天完成定位、靶区勾画、计划制作、验证、复位及治疗,当天取出沙垫,使患者二程接受单次大剂量的根治性重离子放疗,确保患者安全的接受根治性大剂量放射治疗,疗效显著。整个过程放疗科、外科、麻醉科、放疗物理室、放疗技术室、影像科、运维人员、转运人员多学科配合,为患者保驾护航。



放置纱垫前 放置纱垫后
2、呼吸门控下立体定向放射治疗(SBRT/SRS):亚毫米级精度的"放射外科"替代方案
依托多模态影像融合技术(CT解剖定位+MRI功能成像+PET-CT代谢显像),SBRT通过智能算法实现肿瘤靶区(GTV)与危及器官(OARs)的三维可视化重建,定位精度达亚毫米级(误差<1mm)。治疗采用"少分次、大剂量"模式(单次剂量5-12Gy,总次数2-10次),通过高能射线束的聚焦投照,在短时间内向肿瘤输送致死性剂量,其生物等效剂量(BED)远超常规放疗,局部控制效果媲美手术切除。
技术亮点包括:①无创性:无需开刀即可实现肿瘤根治性消融;②高效性:单次治疗即可显著缩小肿瘤体积,适用于早期肺癌、肝癌、前列腺癌及寡转移瘤(如脑转移、骨转移);③安全性:通过动态呼吸门控、自适应计划优化等技术,将对正常组织的累积损伤降至最低,患者治疗后恢复快(多数次日即可恢复正常活动)。

3、巨大肿瘤的晶格放疗(Lattice Radiotherapy):创新剂量分布模式的精准保护策略
作为新兴的空间分割放疗技术,晶格放疗通过三维网格化剂量设计,颠覆传统均匀照射模式,在肿瘤内部构建"高剂量峰-低剂量谷"交替的立体结构:
肿瘤核心区:密集分布的高剂量"晶格点"(剂量可达处方剂量的150%-200%)形成强效杀伤区,直接靶向肿瘤干细胞及增殖活跃细胞群;
周边过渡区:低剂量区域(约为处方剂量的20%-50%)既维持对肿瘤边缘浸润灶的抑制作用,又有效保护邻近关键器官(如脑干、脊髓、视神经等),将正常组织受照剂量控制在耐受阈值内。
该技术尤其适用于体积较大、毗邻重要功能结构的肿瘤(如鞍区肿瘤、中央型肺癌等),在保证肿瘤消退率的同时,大幅降低放射性脑病、肺纤维化等严重并发症风险。



4、图像引导放射治疗(IGRT):实时动态监测的精准执行系统
IGRT通过集成光学体表追踪、超声实时成像、锥形束CT(CBCT)/诊断级CT及MRI多模态影像设备,在治疗前/中实时获取肿瘤位置、形态及呼吸运动数据,动态校正摆位误差(精度达1-2mm)。针对肿瘤位移显著的病例(如肺癌随呼吸移动、肝癌受膈肌牵拉),IGRT可同步调整机架角度与剂量分布,确保射线始终精准命中靶区;对于复发性肿瘤(如局部复发鼻咽癌)或解剖结构变异患者,其快速响应能力可及时修正治疗计划,避免"脱靶"或正常组织过量照射。
该技术特别适用于肿瘤位置不固定(如胸腹部肿瘤)、形态易变(如囊实性肿瘤)及需高精度保障的复杂病例,是实现"精准放疗"的关键质量控制环节。

5、调强适形(容积旋转)放射治疗(IMRT/VMAT):多维度剂量雕刻的精准适形技术
IMRT/VMAT是传统适形放疗的升级版,通过多叶准直器(MLC)的动态调节与计算机逆向优化算法,实现两大核心突破:
形态适形:射线束的投照野形状严格匹配肿瘤的三维轮廓(如不规则肿块、腔道肿瘤),避免"过照射"健康组织;
强度调节:根据肿瘤内部异质性(如坏死区、浸润边界)及周围关键器官(如脊髓、肠管、晶体)的敏感阈值,差异化分配各射野的剂量强度,形成肿瘤内剂量均匀分布(±3%-5%)与危及器官剂量最小化的双重目标。
该技术广泛应用于头颈部肿瘤(鼻咽癌、喉癌)、盆腔肿瘤(直肠癌、宫颈癌)及乳腺癌保乳术后辅助放疗,显著降低口干、放射性肠炎、心脏毒性等并发症发生率。

四、 硬件设施
设备配置方面,科室引进多台国际先进的大型医疗仪器,包括:GE Discovery MI 大型迭代PET-CT、Siemens MAGNETOM Skyra 3.0T 超导磁共振模拟定位系统、Siemens Somatom Confidence 64排模拟定位CT、Varian VitalBeam 直线加速器、Varian Clinac iX 直线加速器、Elekta Infinity 四维影像引导直线加速器等。些设备共同构建起一套完整的高精度放疗平台,为临床治疗提供了坚实基础。
五、 服务理念与患者关怀
由陈威佐医师领衔的医疗团队将运用尖端的重离子放疗技术,结合个性化的综合治疗方案,为每一位患者提供精准、高效的医疗服务。我们的强项包括:
- 先进的医疗设备与技术
- 多学科专家紧密协作
- 经验丰富的专家团队
- 全程化人性化的管理
- 温馨舒适的就医环境
- 全程贴心的患者关怀
六、 联系方式与就诊指南
放疗六科住院部地址:武威医学科学院肿瘤医院重离子院区五号楼一楼
电话:0935-6988055 陈威佐主任:13519351968(微信同号)